You have no items in your shopping cart.
Description
Research Area
Images & Validation
−| Tested Applications | IHC, WB |
|---|---|
| Reactivity | Human, Rat |
| Predicted Reactivity | Bovine, Canine, Equine, Guinea pig, Mouse, Rabbit, Sheep |
Key Properties
−| Host | Rabbit |
|---|---|
| Clonality | Polyclonal |
| Immunogen | The immunogen is a synthetic peptide directed towards the C terminal region of human IDH1 |
| Target | IDH1 |
| Protein Sequence | Synthetic peptide located within the following region: VSIETIEAGFMTKDLAACIKGLPNVQRSDYLNTFEFMDKLGENLKIKLAQ |
| Molecular Weight | 47kDa |
| Purification | Affinity Purified |
| Conjugation | Unconjugated |
Storage & Handling
−| Storage | Maintain refrigerated at 2-8°C for up to 2 weeks. For long term storage store at -20°C in small aliquots to prevent freeze-thaw cycles. |
|---|---|
| Buffer/Preservatives | Liquid. Purified antibody supplied in 1x PBS buffer with 0.09% (w/v) sodium azide and 2% sucrose. |
| Concentration | 0.5 mg/ml |
| Expiration Date | 12 months from date of receipt. |
| Disclaimer | For research use only |
Alternative Names
−Similar Products
−IDH1 Rabbit Polyclonal Antibody [orb330779]
IHC, WB
Bovine, Canine, Equine, Guinea pig, Mouse, Rabbit, Sheep, Yeast
Human, Rat
Rabbit
Polyclonal
Unconjugated
100 μlIsocitrate dehydrogenase/IDH1 Rabbit Polyclonal Antibody [orb312127]
FC, ICC, IF, IHC, IHC-Fr, WB
Human, Mouse, Rat
Rabbit
Polyclonal
Unconjugated
100 μgIDH1 rabbit pAb Antibody [orb767021]
ELISA, IF, IHC, WB
Human, Mouse, Rat
Polyclonal
Unconjugated
100 μlIDH1 Rabbit Polyclonal Antibody [orb2622]
IF, IHC-Fr, IHC-P, WB
Bovine, Canine, Equine, Porcine, Rabbit, Rat
Human, Mouse
Rabbit
Polyclonal
Unconjugated
50 μl, 200 μl, 100 μlIDH1 Antibody (Center) [orb1788320]
FC, IF, IHC-P, WB
Mouse, Sheep
Human, Rat
Rabbit
Polyclonal
Unconjugated

Quality Guarantee
Explore bioreagents carefree to elevate your research. All our products are rigorously tested for performance. If a product does not perform as described on its datasheet, our scientific support team will provide expert troubleshooting, a prompt replacement, or a refund. For full details, please see our Terms & Conditions and Buying Guide. Contact us at [email protected].

Sample Type: Human HepG2, Antibody dilution: 1.0 ug/ml. IDH1 is supported by BioGPS gene expression data to be expressed in HepG2.

Sample Type: Human MCF7, Antibody dilution: 1.0 ug/ml. IDH1 is supported by BioGPS gene expression data to be expressed in MCF7.

Sample Tissue: Rat Liver, Antibody dilution: 1 ug/ml.

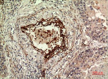
Human Testis

Human Testis

WB Suggested Anti-IDH1 Antibody Titration: 1 ug/ml, Positive Control: Fetal liver cell lysate.
Documents Download
Request a Document
Protocol Information
IDH1 Rabbit Polyclonal Antibody (orb330780)
Participating in our Biorbyt product reviews program enables you to support fellow scientists by sharing your firsthand experience with our products.
Login to Submit a Review

























