You have no items in your shopping cart.
PTEN Antibody (N-term)
Description
Research Area
Images & Validation
−| Tested Applications | IF, IHC-P, WB |
|---|---|
| Dilution Range | WB - 1:1000, IHC-P - 1:100-500, IF - 1:10-50 |
| Reactivity | Human, Mouse, Rat |
Key Properties
−| Antibody Type | Primary Antibody |
|---|---|
| Host | Rabbit |
| Clonality | Polyclonal |
| Isotype | Rabbit IgG |
| Molecular Weight | 47166 Da |
| Conjugation | Unconjugated |
Storage & Handling
−| Storage | Maintain refrigerated at 2-8°C for up to 2 weeks. For long term storage store at -20°C in small aliquots to prevent freeze-thaw cycles |
|---|---|
| Form/Appearance | Purified polyclonal antibody supplied in PBS with 0.09% (W/V) sodium azide. This antibody is prepared by Saturated Ammonium Sulfate (SAS) precipitation followed by dialysis against PBS. |
| Expiration Date | 12 months from date of receipt. |
| Disclaimer | For research use only |
Alternative Names
−Similar Products
−PTEN Antibody (N-term) [orb1925613]
WB
Other
Human, Mouse, Rat
Mouse
Monoclonal
Unconjugated
50 μl, 100 μlPTEN Mouse Monoclonal Antibody [orb1473845]
WB
Human, Mouse, Rat
Mouse
Monoclonal
Unconjugated
200 μl, 100 μl, 50 μl, 30 μl

Quality Guarantee
Explore bioreagents carefree to elevate your research. All our products are rigorously tested for performance. If a product does not perform as described on its datasheet, our scientific support team will provide expert troubleshooting, a prompt replacement, or a refund. For full details, please see our Terms & Conditions and Buying Guide. Contact us at [email protected].

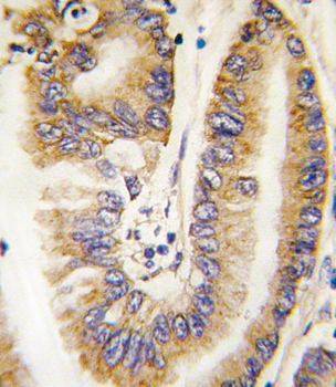
Formalin-fixed and paraffin-embedded human lung carcinoma tissue reacted with PTEN antibody (N-term), which was peroxidase-conjugated to the secondary antibody, followed by DAB staining. This data demonstrates the use of this antibody for immunohistochemistry; clinical relevance has not been evaluated.

PTEN Antibody (N-term) western blot analysis in HL-60 cell line lysates (35 ug/lane).This demonstrates the PTEN antibody detected the PTEN protein (arrow).

Western blot analysis of PTEN (arrow) using rabbit PTEN Antibody (N-term).293 cell lysates (2 ug/lane) either nontransfected (Lane 1) or transiently transfected with the PTEN gene (Lane 2).

Confocal immunofluorescent analysis of PTEN Antibody (N-term) with MCF-7 cell followed by Alexa Fluor 488-conjugated goat anti-rabbit lgG (green).Actin filaments have been labeled with Alexa Fluor 555 phalloidin (red).DAPI was used to stain the cell nuclear (blue).
Quick Database Links
UniProt Details
−Documents Download
Request a Document
Protocol Information
PTEN Antibody (N-term) (orb1928503)
Participating in our Biorbyt product reviews program enables you to support fellow scientists by sharing your firsthand experience with our products.
Login to Submit a Review

