You have no items in your shopping cart.
PA2G4 Rabbit Polyclonal Antibody
Description
Research Area
Images & Validation
−| Tested Applications | IHC, WB |
|---|---|
| Reactivity | Human |
| Predicted Reactivity | Bovine, Canine, Equine, Guinea pig, Mouse, Rabbit, Rat, Zebrafish |
Key Properties
−| Host | Rabbit |
|---|---|
| Clonality | Polyclonal |
| Immunogen | The immunogen is a synthetic peptide directed towards the C terminal region of human PA2G4 |
| Target | PA2G4 |
| Protein Sequence | Synthetic peptide located within the following region: LLQPFNVLYEKEGEFVAQFKFTVLLMPNGPMRITSGPFEPDLYKSEMEVQ |
| Molecular Weight | 44kDa |
| Purification | Affinity Purified |
| Conjugation | Unconjugated |
Storage & Handling
−| Storage | Maintain refrigerated at 2-8°C for up to 2 weeks. For long term storage store at -20°C in small aliquots to prevent freeze-thaw cycles. |
|---|---|
| Buffer/Preservatives | Liquid. Purified antibody supplied in 1x PBS buffer with 0.09% (w/v) sodium azide and 2% sucrose. |
| Concentration | 0.5 mg/ml |
| Expiration Date | 12 months from date of receipt. |
| Disclaimer | For research use only |
Alternative Names
−Similar Products
−CoREST/RCOR1 Rabbit Polyclonal Antibody [orb763140]
ELISA, FC, ICC, IF, IHC, WB
Human
Rabbit
Polyclonal
Unconjugated
100 μgEBP1/PA2G4 Rabbit Polyclonal Antibody [orb389428]
IHC, WB
Human, Mouse, Rat
Rabbit
Polyclonal
Unconjugated
100 μgEBP1 Rabbit Polyclonal Antibody [orb156685]
IF, IHC-Fr, IHC-P
Bovine, Gallus, Porcine, Rabbit, Sheep, Zebrafish
Human, Mouse, Rat
Rabbit
Polyclonal
Unconjugated
50 μl, 100 μl, 200 μlPA2G4 Rabbit Polyclonal Antibody [orb629614]
ELISA, IHC, WB
Human, Mouse, Rat
Rabbit
Polyclonal
Unconjugated
50 μg, 100 μgPA2G4 Rabbit Polyclonal Antibody [orb629615]
ELISA, FC, IF, IHC, WB
Human, Mouse, Rat
Rabbit
Polyclonal
Unconjugated
50 μg, 100 μg

Quality Guarantee
Explore bioreagents carefree to elevate your research. All our products are rigorously tested for performance. If a product does not perform as described on its datasheet, our scientific support team will provide expert troubleshooting, a prompt replacement, or a refund. For full details, please see our Terms & Conditions and Buying Guide. Contact us at [email protected].

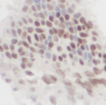
Sample Type: Human Fetal Brain, Antibody dilution: 1.0 ug/ml.

Lung, respiratory epithelium.

Rabbit Anti-PA2G4 Antibody, Catalog Number: orb580126, Formalin Fixed Paraffin Embedded Tissue: Human Bronchial Epithelial Tissue, Observed Staining: Cytoplasmic, Primary Antibody Concentration: 1:100, Secondary Antibody: Donkey anti-Rabbit-Cy3, Secondary Antibody Concentration: 1:200, Magnification: 20X, Exposure Time: 0.5-2.0 sec.

WB Suggested Anti-PA2G4 Antibody Titration: 0.2-1 ug/ml, Positive Control: HepG2 cell lysate. PA2G4 is strongly supported by BioGPS gene expression data to be expressed in Human HepG2 cells.
Documents Download
Request a Document
Protocol Information
PA2G4 Rabbit Polyclonal Antibody (orb580126)
Participating in our Biorbyt product reviews program enables you to support fellow scientists by sharing your firsthand experience with our products.
Login to Submit a Review













