You have no items in your shopping cart.
GSTM3 Rabbit Polyclonal Antibody
Description
Research Area
Images & Validation
−| Tested Applications | WB |
|---|---|
| Reactivity | Human |
| Predicted Reactivity | Bovine, Canine, Equine, Mouse, Porcine, Rabbit, Rat |
Key Properties
−| Host | Rabbit |
|---|---|
| Clonality | Polyclonal |
| Immunogen | The immunogen is a synthetic peptide directed towards the middle region of human GSTM3 |
| Target | GSTM3 |
| Protein Sequence | Synthetic peptide located within the following region: EEKIRVDIIENQVMDFRTQLIRLCYSSDHEKLKPQYLEELPGQLKQFSMF |
| Molecular Weight | 27 kDa |
| Purification | Affinity Purified |
| Conjugation | Unconjugated |
Storage & Handling
−| Storage | Maintain refrigerated at 2-8°C for up to 2 weeks. For long term storage store at -20°C in small aliquots to prevent freeze-thaw cycles. |
|---|---|
| Buffer/Preservatives | Liquid. Purified antibody supplied in 1x PBS buffer with 0.09% (w/v) sodium azide and 2% sucrose. |
| Concentration | 0.5 mg/ml |
| Expiration Date | 12 months from date of receipt. |
| Disclaimer | For research use only |
Alternative Names
−Similar Products
−GSTM3 Rabbit Polyclonal Antibody [orb402287]
ELISA, IHC, WB
Human, Mouse
Rabbit
Polyclonal
Unconjugated
100 μgREA/PHB2 Rabbit Polyclonal Antibody [orb669110]
ELISA, FC, ICC, IF, IHC, WB
Human, Mouse, Rat
Rabbit
Polyclonal
Unconjugated
100 μgSEL1L Rabbit Polyclonal Antibody [orb1402162]
ELISA, FC, ICC, IF, IHC, WB
Human, Mouse, Rat
Rabbit
Polyclonal
Unconjugated
100 μgFXR1 Rabbit Polyclonal Antibody [orb865394]
ELISA, FC, ICC, IF, IHC, WB
Human, Monkey, Mouse, Rat
Rabbit
Polyclonal
Unconjugated
100 μgAsparagine synthetase/ASNS Rabbit Polyclonal Antibody [orb1676378]
ELISA, FC, IF, IHC, WB
Human, Mouse, Rat
Rabbit
Polyclonal
Unconjugated
100 μg

Quality Guarantee
Explore bioreagents carefree to elevate your research. All our products are rigorously tested for performance. If a product does not perform as described on its datasheet, our scientific support team will provide expert troubleshooting, a prompt replacement, or a refund. For full details, please see our Terms & Conditions and Buying Guide. Contact us at [email protected].

25 ug of the indicated Human whole cell extracts was loaded onto a 12% SDS-PAGE gel. 0.5 ug/ml of the antibody was used in this experiment.

Sample Tissue: Human MCF7 Whole Cell, Antibody dilution: 0.2 ug/ml.

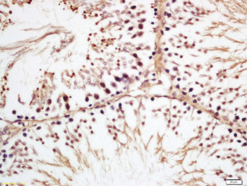
Sample Tissue: Human Stomach Tumor, Antibody dilution: 1.0 ug/ml.

WB Suggested Anti-GSTM3 Antibody Titration: 0.2-1 ug/ml, Positive Control: HepG2 cell lysate.
Documents Download
Request a Document
GSTM3 Rabbit Polyclonal Antibody (orb330711)
Participating in our Biorbyt product reviews program enables you to support fellow scientists by sharing your firsthand experience with our products.
Login to Submit a Review


































