You have no items in your shopping cart.
You have no items in your shopping cart.
| Catalog Number | orb1321226 |
|---|---|
| Category | Antibodies |
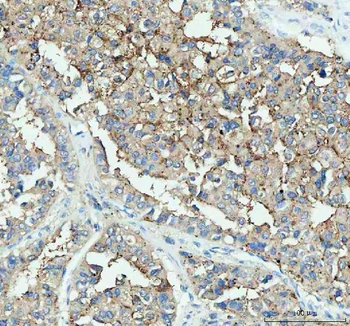
| Description | Mouse monoclonal antibody to DDT |
| Target | DDT |
| Clonality | Monoclonal |
| Species/Host | Mouse |
| Isotype | IgG1 |
| Conjugation | Unconjugated |
| Reactivity | Human |
| Immunogen | Full length human recombinant protein of human DDT(NP_001346) produced in HEK293T cell. |
| UniProt ID | P30046 |
| MW | 12.5 kDa |
| Tested applications | IF, IHC, WB |
| Dilution range | WB 1:8000, IHC 1:150, IF 1:100 |
| Antibody Type | Primary Antibody |
| Clone Number | OTI3A11 |
| Storage | Maintain refrigerated at 2-8°C for up to 2 weeks. For long term storage store at -20°C in small aliquots to prevent freeze-thaw cycles. |
| Note | For research use only |
| NCBI | NM_001355 |

Western blot analysis of HEK293T cells were transfected with the pCMV6-ENTRY control (Left lane) or pCMV6-ENTRY DDT ( Right lane) using DDT antibody
Participating in our Biorbyt product reviews program enables you to support fellow scientists by sharing your firsthand experience with our products.
Login to Submit a Review