You have no items in your shopping cart.
Description
Research Area
Immunology & Inflammation; Cell Biology
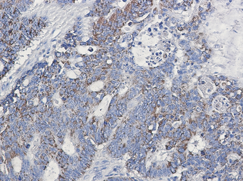
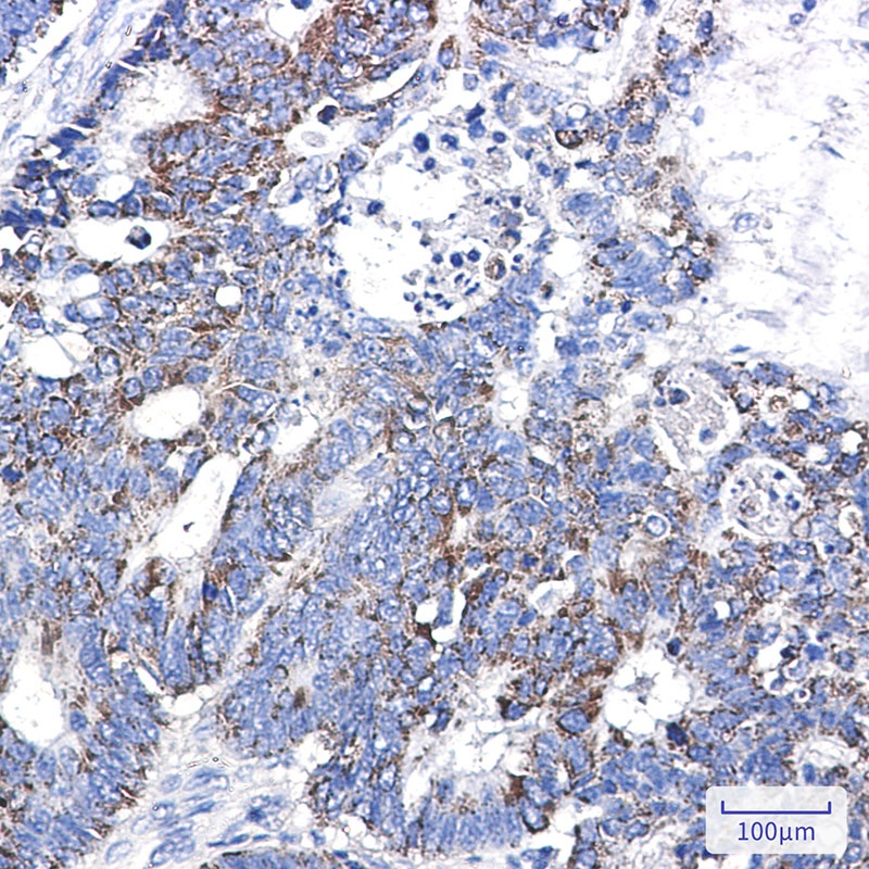
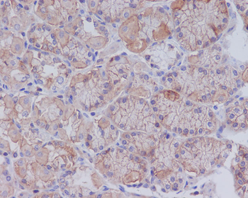
Images & Validation
−
| Tested Applications | ICC, IF, IHC-P, WB |
|---|---|
| Dilution Range | WB: 1/500-1/1000 IHC: 1/50-1/100 IF: 1/50-1/200 |
| Reactivity | Human, Mouse, Rat |
Key Properties
−| Antibody Type | Primary Antibody |
|---|---|
| Clonality | Monoclonal |
| Isotype | IgG |
| Clone No. | BT27X9F7 |
| Immunogen | A synthesized peptide derived from human CD147 |
| Molecular Weight | Calculated MW: 42 kDa; Observed MW: 60 kDa |
| Purification | Affinity Chromatography |
| Conjugation | Unconjugated |
Storage & Handling
−| Storage | Maintain refrigerated at 2-8°C for up to 2 weeks. For long term storage store at -20°C in small aliquots to prevent freeze-thaw cycles. |
|---|---|
| Form/Appearance | Liquid |
| Buffer/Preservatives | 10mM PBS, pH 7.4, 150mM sodium chloride, 0.05% rAlbumin, 0.02% sodium azide and 50% glycerol. |
| Expiration Date | 12 months from date of receipt. |
| Disclaimer | For research use only |
Alternative Names
−BSG; Basigin; 5F7; Collagenase stimulatory factor; Extracellular matrix metalloproteinase inducer; EMMPRIN; Leukocyte activation antigen M6; OK blood group antigen; Tumor cell-derived collagenase stimulatory factor; TCSF; CD antigen CD147
Similar Products
−CD147 Rabbit mAb [KD Validated] Antibody [orb1951184]
ICC, IHC, WB
Human, Mouse, Rat
Rabbit
Monoclonal
Unconjugated
50 μl, 100 μl[KD] CD147 Rabbit mAb [orb1564061]
ICC, IF, IHC-Fr, IHC-P, WB
Human
Monoclonal
Unconjugated
50 μl, 100 μl, 20 μlCD147 Rabbit mAb Antibody [orb1472266]
IHC, WB
Human, Mouse, Rat
Rabbit
Monoclonal
Unconjugated
100 μl, 50 μlCD147 Rabbit mAb [KD Validated] Antibody [orb1950450]
ICC, IHC, WB
Human
Rabbit
Monoclonal
Unconjugated
100 μl, 50 μl

Quality Guarantee
Explore bioreagents carefree to elevate your research. All our products are rigorously tested for performance. If a product does not perform as described on its datasheet, our scientific support team will provide expert troubleshooting, a prompt replacement, or a refund. For full details, please see our Terms & Conditions and Buying Guide. Contact us at [email protected].
Quick Database Links
UniProt
UniProt Details
− No UniProt data available
Documents Download
Datasheet
Product Information
Request a Document
Protocol Information
WB
Western Blot (IB, immunoblot)
IHC-P
Immunohistochemistry Paraffin
IF
Immunofluorescence
ICC
Immunocytochemistry
CD147 Rabbit mAb (orb1923353)
Based on 0 reviews
Participating in our Biorbyt product reviews program enables you to support fellow scientists by sharing your firsthand experience with our products.
Login to Submit a Review![CD147 Rabbit mAb [KD Validated] Antibody](/images/pub/media/catalog/product/NewWebsite/18/orb1951184_1.png)
![CD147 Rabbit mAb [KD Validated] Antibody](/images/pub/media/catalog/product/NewWebsite/18/orb1951184_2.png)
![CD147 Rabbit mAb [KD Validated] Antibody](/images/pub/media/catalog/product/NewWebsite/18/orb1951184_3.png)
![CD147 Rabbit mAb [KD Validated] Antibody](/images/pub/media/catalog/product/NewWebsite/18/orb1951184_4.png)
![[KD] CD147 Rabbit mAb](/images/pub/media/catalog/product/NewWebsite/21/orb1564061_1.jpg)
![[KD] CD147 Rabbit mAb](/images/pub/media/catalog/product/NewWebsite/21/orb1564061_2.jpg)
![[KD] CD147 Rabbit mAb](/images/pub/media/catalog/product/NewWebsite/21/orb1564061_3.jpg)


![CD147 Rabbit mAb [KD Validated] Antibody](/images/pub/media/catalog/product/NewWebsite/18/orb1950450_1.png)
![CD147 Rabbit mAb [KD Validated] Antibody](/images/pub/media/catalog/product/NewWebsite/18/orb1950450_2.png)

