You have no items in your shopping cart.
BHLHB2 Rabbit Polyclonal Antibody
Description
Research Area
Images & Validation
−| Tested Applications | IHC, WB |
|---|---|
| Reactivity | Human |
| Predicted Reactivity | Bovine, Canine, Equine, Guinea pig, Mouse, Rabbit, Rat, Sheep |
Key Properties
−| Host | Rabbit |
|---|---|
| Clonality | Polyclonal |
| Immunogen | The immunogen is a synthetic peptide directed towards the middle region of human BHLHB2 |
| Target | BHLHE40 |
| Protein Sequence | Synthetic peptide located within the following region: SEKGDLRSEQPCFKSDHGRRFTMGERIGAIKQESEEPPTKKNRMQLSDDE |
| Molecular Weight | 45 kDa |
| Purification | Affinity Purified |
| Conjugation | Unconjugated |
Storage & Handling
−| Storage | Maintain refrigerated at 2-8°C for up to 2 weeks. For long term storage store at -20°C in small aliquots to prevent freeze-thaw cycles. |
|---|---|
| Buffer/Preservatives | Liquid. Purified antibody supplied in 1x PBS buffer with 0.09% (w/v) sodium azide and 2% sucrose. |
| Concentration | 0.5 mg/ml |
| Expiration Date | 12 months from date of receipt. |
| Disclaimer | For research use only |
Alternative Names
−Similar Products
−BHLHE40 Rabbit Polyclonal Antibody [orb625125]
ELISA, IF, IHC, WB
Human, Mouse, Rat
Rabbit
Polyclonal
Unconjugated
50 μg, 100 μgSHARP-2 Rabbit Polyclonal Antibody [orb341105]
IHC, WB
Human, Mouse, Rat
Rabbit
Polyclonal
Unconjugated
50 μl, 100 μl, 200 μl, 30 μlbasic helix-loop-helix family member e40 Antibody [orb556626]
ICC, IHC-P, WB
Human
Rabbit
Polyclonal
Unconjugated
BHLHE40 Rabbit Polyclonal Antibody [orb2953517]
ELISA, IHC, WB
Human
Rabbit
Polyclonal
Unconjugated
50 μg, 100 μgBHLHE40 (N) Antibody, Rabbit Polyclonal [orb67045]
WB
Human, Mouse
Rabbit
Polyclonal
Unconjugated
100 μl

Quality Guarantee
Explore bioreagents carefree to elevate your research. All our products are rigorously tested for performance. If a product does not perform as described on its datasheet, our scientific support team will provide expert troubleshooting, a prompt replacement, or a refund. For full details, please see our Terms & Conditions and Buying Guide. Contact us at [email protected].

Sample Type: Human Fetal Lung, Antibody Dilution: 1.0 ug/mL.

25 ug of the indicated Human whole cell extracts was loaded onto a 12% SDS-PAGE gel. 0.5 ug/mL of the antibody was used in this experiment.

Sample Type: Human Adult Placenta, Antibody Dilution: 1.0 ug/mL.

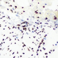
Rabbit Anti-BHLHE40 Antibody, Paraffin Embedded Tissue: Human alveolar cell, Cellular Data: Epithelial cells of renal tubule, Antibody Concentration: 4.0-8.0 ug/mL, Magnification: 400X.

WB Suggested Anti-BHLHB2 Antibody Titration: 0.2-1 ug/mL, Positive Control: Transfected 293T.
Documents Download
Request a Document
Protocol Information
BHLHB2 Rabbit Polyclonal Antibody (orb324508)
Participating in our Biorbyt product reviews program enables you to support fellow scientists by sharing your firsthand experience with our products.
Login to Submit a Review






