You have no items in your shopping cart.
CLMP Antibody
Description
Research Area
Images & Validation
−| Tested Applications | IHC-P, WB |
|---|---|
| Reactivity | Human |
| Predicted Reactivity | Mouse, Rat |
| Application Notes |
Key Properties
−| Antibody Type | Primary Antibody |
|---|---|
| Host | Rabbit |
| Clonality | Polyclonal |
| Isotype | Rabbit Ig |
| Immunogen | This ASAM antibody is generated from rabbits immunized with a KLH conjugated synthetic peptide between 81-110 amino acids from the Central region of human ASAM. |
| Target | CLMP |
| Molecular Weight | 41 kDa |
| Purification | This antibody is purified through a protein A column, followed by peptide affinity purification. |
| Conjugation | Unconjugated |
Storage & Handling
−| Storage | Maintain refrigerated at 2-8°C for up to 2 weeks. For long term storage store at -20°C in small aliquots to prevent freeze-thaw cycles. |
|---|---|
| Form/Appearance | Liquid |
| Buffer/Preservatives | Supplied in PBS with 0.09% (W/V) sodium azide. |
| Concentration | batch dependent |
| Expiration Date | 12 months from date of receipt. |
| Disclaimer | For research use only |
Alternative Names
−Similar Products
−Human Coxsackie and Adenovirus Receptor Like Membrane Protein (CLMP) ELISA Kit [orb781021]
Human
0.16-10 ng/mL
0.059 ng/mL
48 T, 96 TCLMP Rabbit Polyclonal Antibody [orb1880570]
IHC, WB
Human, Mouse
Rabbit
Polyclonal
Unconjugated
50 μl, 200 μl, 100 μl, 30 μlClmp Rabbit Polyclonal Antibody [orb325520]
WB
Bovine, Equine, Guinea pig, Human, Mouse, Rabbit, Sheep
Rat
Rabbit
Polyclonal
Unconjugated
100 μlASAM Rabbit Polyclonal Antibody [orb100510]
WB
Bovine, Canine, Equine, Mouse, Rabbit, Rat, Sheep
Human
Rabbit
Polyclonal
Unconjugated
50 μl, 100 μl, 200 μl

Quality Guarantee
Explore bioreagents carefree to elevate your research. All our products are rigorously tested for performance. If a product does not perform as described on its datasheet, our scientific support team will provide expert troubleshooting, a prompt replacement, or a refund. For full details, please see our Terms & Conditions and Buying Guide. Contact us at [email protected].

Western blot analysis in HepG2 cell line lysates (35 ug/lane).

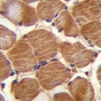
ASAM Antibody immunohistochemistry analysis in formalin fixed and paraffin embedded human skeletal muscle followed by peroxidase conjugation of the secondary antibody and DAB staining.
Documents Download
Request a Document
Protocol Information
CLMP Antibody (orb1269220)
Participating in our Biorbyt product reviews program enables you to support fellow scientists by sharing your firsthand experience with our products.
Login to Submit a Review




