You have no items in your shopping cart.
Description
Research Area
Images & Validation
−| Tested Applications | IHC, WB |
|---|---|
| Dilution Range | Immunohistochemistry (Frozen Section), 0.5-1μg/ml Immunohistochemistry (Paraffin-embedded Section), 0.5-1μg/ml Western blot, 0.1-0.5μg/ml |
| Reactivity | Human, Mouse, Rat |
Key Properties
−| Antibody Type | Primary Antibody |
|---|---|
| Host | Rabbit |
| Clonality | Polyclonal |
| Isotype | Rabbit IgG |
| Immunogen | A synthetic peptide corresponding to a sequence at the C-terminus of human Connexin 43, identical to the related rat and mouse sequences. |
| Target | Gap junction alpha-1 protein |
| Molecular Weight | 43 kDa |
| Purification | Immunogen affinity purified. |
| Conjugation | Unconjugated |
Storage & Handling
−| Storage | Maintain refrigerated at 2-8°C for up to 2 weeks. For long term storage store at -20°C in small aliquots to prevent freeze-thaw cycles. |
|---|---|
| Form/Appearance | Lyophilized |
| Buffer/Preservatives | Each vial contains antibody formulated with stabilizing components, 0.9mg NaCl, 0.2mg Na2HPO4, 0.01mg Thimerosal, 0.01mg NaN3. *This antibody is supplied in a stabilized formulation. Compatibility with conjugation reactions depends on the chemistry of the conjugation method used. For conjugation methods that are not compatible with the stabilizing components present in this formulation, a carrier-free antibody format is required. |
| Concentration | Adding 0.2 ml of distilled water will yield a concentration of 500 μg/ml. |
| Expiration Date | 12 months from date of receipt. |
| Disclaimer | For research use only |
Alternative Names
−Similar Products
−Connexin 43/GJA1 Rabbit Polyclonal Antibody [orb570335]
ELISA, IHC, WB
Human, Mouse, Rat
Rabbit
Polyclonal
Unconjugated
100 μgConnexin 43/GJA1 Rabbit Polyclonal Antibody [orb18023]
IF, IHC, WB
Human, Mouse, Rat
Rabbit
Polyclonal
Unconjugated
100 μgCX43/GJA1 Rabbit Polyclonal Antibody [orb2955425]
ELISA, IHC, WB
Bacteria, Bovine, Canine, Gallus, Human, Monkey, Mouse, Porcine, Rabbit, Rat
Rabbit
Polyclonal
Unconjugated
50 μg, 100 μgConnexin 43/GJA1 Rabbit Polyclonal Antibody (Fluoro647) [orb3117622]
FC
Human, Mouse, Rat
Rabbit
Polyclonal
Fluoro647
100 μgConnexin 43/GJA1 Rabbit Polyclonal Antibody (Fluoro594) [orb3117623]
FC
Human, Mouse, Rat
Rabbit
Polyclonal
Fluoro594
100 μg

Quality Guarantee
Explore bioreagents carefree to elevate your research. All our products are rigorously tested for performance. If a product does not perform as described on its datasheet, our scientific support team will provide expert troubleshooting, a prompt replacement, or a refund. For full details, please see our Terms & Conditions and Buying Guide. Contact us at [email protected].

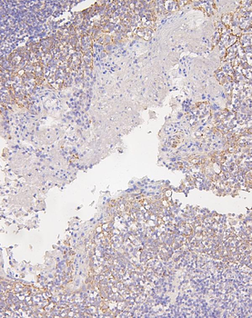
IHC analysis of Connexin 43/GJA1 using anti-Connexin 43/GJA1 antibody.Connexin 43/GJA1 was detected in paraffin-embedded section of human lung cancer tissues.

IHC analysis of Connexin 43/GJA1 using anti-Connexin 43/GJA1 antibody.Connexin 43/GJA1 was detected in paraffin-embedded section of rat cardiac muscle tissues.

IHC analysis of Connexin 43/GJA1 using anti-Connexin 43/GJA1 antibody.Connexin 43/GJA1 was detected in frozen section of rat cardiac muscle tissues.

IHC analysis of Connexin 43/GJA1 using anti-Connexin 43/GJA1 antibody.Connexin 43/GJA1 was detected in paraffin-embedded section of human intestinal cancer tissues.

IHC analysis of Connexin 43/GJA1 using anti-Connexin 43/GJA1 antibody.Connexin 43/GJA1 was detected in paraffin-embedded section of mouse cardiac muscle tissues.

IHC analysis of Connexin 43/GJA1 using anti-Connexin 43/GJA1 antibody.Connexin 43/GJA1 was detected in paraffin-embedded section of human mammary cancer tissues.

IHC analysis of Connexin 43/GJA1 using anti-Connexin 43/GJA1 antibody.Connexin 43/GJA1 was detected in paraffin-embedded section of rat cardiac muscle tissues.

Western blot analysis of Connexin 43/GJA1 using anti-Connexin 43/GJA1 antibody.
Quick Database Links
UniProt Details
−Documents Download
Request a Document
Protocol Information
Connexin 43/GJA1 Rabbit Polyclonal Antibody (orb107153)
Participating in our Biorbyt product reviews program enables you to support fellow scientists by sharing your firsthand experience with our products.
Login to Submit a Review







