You have no items in your shopping cart.
Description
Research Area
Images & Validation
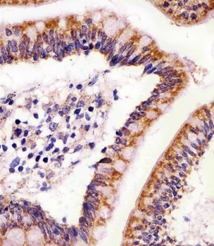
−| Tested Applications | ELISA, IF, WB |
|---|---|
| Reactivity | Human |
| Application Notes |
Key Properties
−| Antibody Type | Primary Antibody |
|---|---|
| Host | Mouse |
| Clonality | Monoclonal |
| Isotype | IgG1 |
| Clone No. | 1H1B11 |
| Immunogen | Ni-NTA purified truncated recombinant ABL2 expressed in E. Coli strain BL21 (DE3). |
| Target | ABL2 |
| Conjugation | Unconjugated |
Storage & Handling
−| Storage | Maintain refrigerated at 2-8°C for up to 2 weeks. For long term storage store at -20°C in small aliquots to prevent freeze-thaw cycles. |
|---|---|
| Buffer/Preservatives | Ascitic fluid containing 0.03% sodium azide. |
| Concentration | batch dependent |
| Expiration Date | 12 months from date of receipt. |
| Disclaimer | For research use only |
Alternative Names
−Similar Products
−ABL2 Rabbit Polyclonal Antibody [orb420042]
IHC-P
Guinea pig, Human, Mouse, Rat
Rabbit
Polyclonal
Unconjugated
100 μgArg rabbit pAb Antibody [orb766963]
ELISA, IF, IHC, WB
Human, Mouse, Rat
Polyclonal
Unconjugated
100 μlPhospho-ABL1(Y393)/ABL2(439)Antibody [orb1931303]
DOT, IHC-P, WB
Mouse
Human
Rabbit
Polyclonal
Unconjugated
50 μl, 100 μl

Quality Guarantee
Explore bioreagents carefree to elevate your research. All our products are rigorously tested for performance. If a product does not perform as described on its datasheet, our scientific support team will provide expert troubleshooting, a prompt replacement, or a refund. For full details, please see our Terms & Conditions and Buying Guide. Contact us at [email protected].

Western blot analysis using ABL2 monoclonal antibody against truncated ABL2 recombinant protein.

Immunofluorescense analysis of ehtanol-fixed Hela cells showing cytoplasma staining using ABL2 antibody with IgG-FITC.
Documents Download
Request a Document
Protocol Information
ABL2 Antibody (orb1273783)
Participating in our Biorbyt product reviews program enables you to support fellow scientists by sharing your firsthand experience with our products.
Login to Submit a Review


















