You have no items in your shopping cart.
DAZAP2 Antibody (C-term)
Description
Images & Validation
−| Tested Applications | IHC-P, WB |
|---|---|
| Dilution Range | WB: 1:1000, IHC-P: 1:50~100 |
| Reactivity | Human |
Key Properties
−| Antibody Type | Primary Antibody |
|---|---|
| Host | Rabbit |
| Clonality | Polyclonal |
| Isotype | Rabbit IgG |
| Clone No. | RB24199 |
| Target | This DAZAP2 antibody is generated from rabbits immunized with a KLH conjugated synthetic peptide between 111-139 amino acids from the C-terminal region of human DAZAP2. |
| Molecular Weight | 17319 Da |
| Conjugation | Unconjugated |
Storage & Handling
−| Storage | Maintain refrigerated at 2-8°C for up to 2 weeks. For long term storage store at -20°C in small aliquots to prevent freeze-thaw cycles |
|---|---|
| Form/Appearance | Purified polyclonal antibody supplied in PBS with 0.09% (W/V) sodium azide. This antibody is purified through a protein A column, followed by peptide affinity purification. |
| Expiration Date | 12 months from date of receipt. |
| Disclaimer | For research use only |
Alternative Names
−Similar Products
−
Quality Guarantee
Explore bioreagents carefree to elevate your research. All our products are rigorously tested for performance. If a product does not perform as described on its datasheet, our scientific support team will provide expert troubleshooting, a prompt replacement, or a refund. For full details, please see our Terms & Conditions and Buying Guide. Contact us at [email protected].

Western blot analysis of DAZAP2 Antibody (C-term) in A375 cell line lysates (35 ug/lane). DAZAP2 (arrow) was detected using the purified Pab.

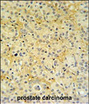
DAZAP2 Antibody (C-term) IHC analysis in formalin fixed and paraffin embedded prostate carcinoma followed by peroxidase conjugation of the secondary antibody and DAB staining. This data demonstrates the use of the DAZAP2 Antibody (C-term) for immunohistochemistry. Clinical relevance has not been evaluated.
Quick Database Links
UniProt Details
−NCBI Reference Sequences
−Documents Download
Request a Document
Protocol Information
DAZAP2 Antibody (C-term) (orb1927610)
Participating in our Biorbyt product reviews program enables you to support fellow scientists by sharing your firsthand experience with our products.
Login to Submit a Review

