You have no items in your shopping cart.
Human NDPKA
SKU: orb2993594
Description
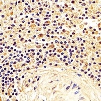
Images & Validation
−
Key Properties
−| Expression System | E.coli |
|---|---|
| Biological Origin | Human |
| Tag | N-6His |
| Molecular Weight | Predicted: 19.3 KDa. Observed: 21 KDa, reducing conditions |
| Expression Region | Met1-Glu152 |
| Purity | SDS-PAGE: Greater than 90% as determined by reducing SDS-PAGE. |
| Endotoxins | < 1 EU/µg as determined by LAL test. |
| Conjugation | Unconjugated |
Storage & Handling
−| Storage | Store at ≤-70°C, stable for 6 months after receipt. Store at ≤-70°C, stable for 3 months under sterile conditions after opening. Please minimize freeze-thaw cycles. |
|---|---|
| Form/Appearance | Supplied as a 0.2 μm filtered solution of 20mM Tris-HCl, 1mM DTT, 10% Glycerol, pH 7.5. |
| Disclaimer | For research use only |
Alternative Names
−Nucleoside Diphosphate Kinase A; NDK A; NDP Kinase A; Granzyme A-Activated DNase; GAAD; Metastasis Inhibition Factor nm23; Tumor Metastatic Process-Associated Protein; nm23-H1; NME1; NDPKA; NM23
Similar Products
−NM23A/NME1 Rabbit Polyclonal Antibody [orb315127]
FC, WB
Human, Mouse, Rat
Rabbit
Polyclonal
Unconjugated
100 μgnm23-H1 Antibody [orb214321]
IHC, WB
Human, Monkey, Mouse, Porcine
Rabbit
Polyclonal
Unconjugated
100 μl, 200 μl, 50 μl, 30 μl

Quality Guarantee
Explore bioreagents carefree to elevate your research. All our products are rigorously tested for performance. If a product does not perform as described on its datasheet, our scientific support team will provide expert troubleshooting, a prompt replacement, or a refund. For full details, please see our Terms & Conditions and Buying Guide. Contact us at [email protected].
Quick Database Links
UniProt
UniProt Details
− No UniProt data available
Documents Download
Datasheet
Product Information
Request a Document
Protocol Information
Human NDPKA (orb2993594)
Based on 0 reviews
Participating in our Biorbyt product reviews program enables you to support fellow scientists by sharing your firsthand experience with our products.
Login to Submit a Review









