You have no items in your shopping cart.
RABAC1
SKU: orb529179
Description
Key Properties
−Storage & Handling
−| Form/Appearance | 10 μg plasmid + 200μl Glycerol |
|---|---|
| Disclaimer | For research use only |
Similar Products
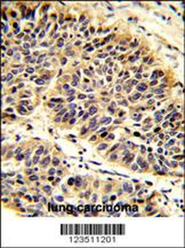
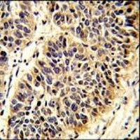
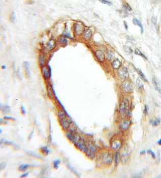
−RABAC1 Antibody (N-term) [orb1928137]
FC, IHC-P, WB
Porcine
Human
Rabbit
Polyclonal
Unconjugated
100 μl, 50 μlRABAC1 Antibody [orb1879434]
FC, IHC, WB
Human
Rabbit
Polyclonal
Unconjugated
50 μl, 100 μl, 200 μl, 30 μlRABAC1 Antibody [orb630458]
ELISA, IHC, WB
Human, Mouse, Rat
Rabbit
Polyclonal
Unconjugated
100 μg, 50 μg

Quality Guarantee
Explore bioreagents carefree to elevate your research. All our products are rigorously tested for performance. If a product does not perform as described on its datasheet, our scientific support team will provide expert troubleshooting, a prompt replacement, or a refund. For full details, please see our Terms & Conditions and Buying Guide. Contact us at [email protected].
Documents Download
Datasheet
Product Information
Request a Document
Protocol Information
RABAC1 (orb529179)
Based on 0 reviews
Participating in our Biorbyt product reviews program enables you to support fellow scientists by sharing your firsthand experience with our products.
Login to Submit a Review








