You have no items in your shopping cart.
CRK (3H7) Mouse mAb
SKU: orb1563351
Description
Images & Validation
−Item 1 of 1
| Tested Applications | WB |
|---|---|
| Dilution range | WB: 1/500-1/1000 |
| Reactivity | Human |
Key Properties
−| Antibody Type | Primary Antibody |
|---|---|
| Clonality | Monoclonal |
| Isotype | IgG2b |
| Clone No. | 3H7-E5-H8 |
| Immunogen | Purified recombinant human CrkII protein fragments expressed in E.coli. |
| Target | CRK |
| Molecular Weight | Calculated MW: 34 kDa; Observed MW: 34 kDa |
| Purification | Affinity Purified |
| Conjugation | Unconjugated |
Storage & Handling
−| Storage | Maintain refrigerated at 2-8°C for up to 2 weeks. For long term storage store at -20°C in small aliquots to prevent freeze-thaw cycles. |
|---|---|
| Form/Appearance | Liquid |
| Buffer/Preservatives | Liquid in PBS containing 50% glycerol, 0.5% rAlbumin and 0.02% sodium azide, pH 7.3. |
| Concentration | 1 mg/ml |
| Disclaimer | For research use only |
Alternative Names
−Adapter molecule crk; avian sarcoma virus CT10 (v-crk) oncogene homolog; CRK; CRKII; Proto-oncogene c-Crk

Quality Guarantee
Explore bioreagents carefree to elevate your research. All our products are rigorously tested for performance. If a product does not perform as described on its datasheet, our scientific support team will provide expert troubleshooting, a prompt replacement, or a refund. For full details, please see our Terms & Conditions and Buying Guide. Contact us at [email protected].

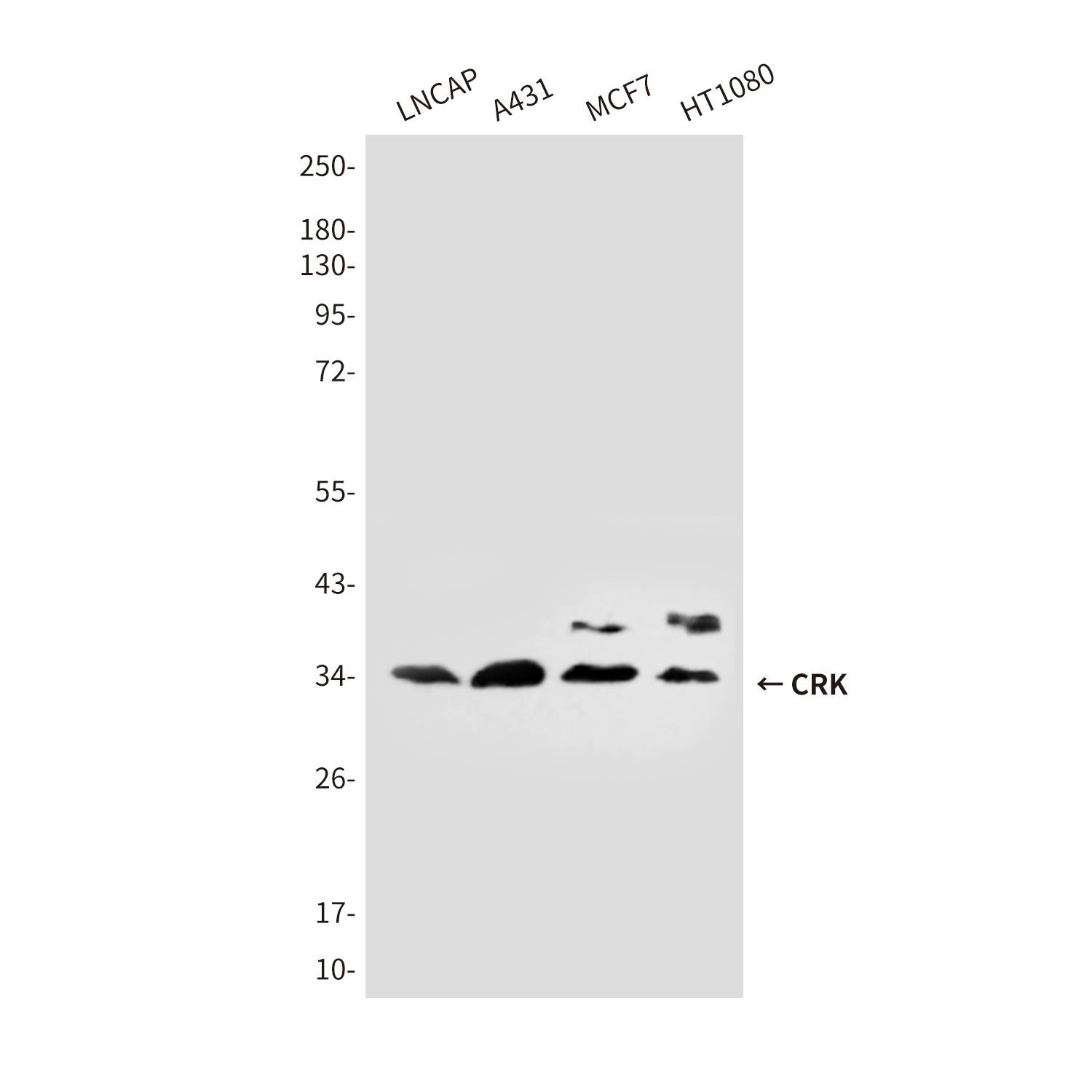
Western blot analysis of CrkII in Lncap, A431, MCF-7 and HT-1080 lysates using CrkII antibody.
Quick Database Links
Gene Symbol
CRK
UniProt
UniProt Details
− No UniProt data available
Documents Download
Datasheet
Product Information
Request a Document
CRK (3H7) Mouse mAb (orb1563351)
Based on 0 reviews
Participating in our Biorbyt product reviews program enables you to support fellow scientists by sharing your firsthand experience with our products.
Login to Submit a Review