You have no items in your shopping cart.
You have no items in your shopping cart.
| Catalog Number | orb1930321 |
|---|---|
| Category | Antibodies |
| Description | TANK Antibody (Center) |
| Clonality | Polyclonal |
| Species/Host | Rabbit |
| Isotype | Rabbit IgG |
| Conjugation | Unconjugated |
| Reactivity | Human |
| Form/Appearance | Purified polyclonal antibody supplied in PBS with 0.09% (W/V) sodium azide. This antibody is purified through a protein A column, followed by peptide affinity purification. |
| UniProt ID | Q92844 |
| MW | 47816 Da |
| Tested applications | FC, IHC-P, WB |
| Dilution range | WB - 1:1000, IHC-P - 1:100-500, FC - 1:10-50 |
| Antibody Type | Primary Antibody |
| Storage | Maintain refrigerated at 2-8°C for up to 2 weeks. For long term storage store at -20°C in small aliquots to prevent freeze-thaw cycles |
| Alternative names | ITRAF, TRAF2 |
| Research Area | Immunology & Inflammation, Signal Transduction |
| Note | For research use only |
| Expiration Date | 12 months from date of receipt. |

TANK Antibody (Center) flow cytometric analysis of WiDr cells (right histogram) compared to a negative control cell (left histogram). FITC-conjugated goat-anti-rabbit secondary antibodies were used for the analysis.

TANK Antibody (Center) immunohistochemistry analysis in formalin fixed and paraffin embedded human cervix carcinoma followed by peroxidase conjugation of the secondary antibody and DAB staining. This data demonstrates the use of the TANK Antibody (Center) for immunohistochemistry. Clinical relevance has not been evaluated.

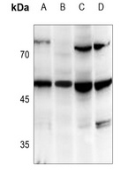
TANK Antibody (Center) western blot analysis in WiDr cell line lysates (35 ug/lane). This demonstrates the TANK antibody detected the TANK protein (arrow).
IF, IHC, WB | |
Human, Mouse, Rat | |
Rabbit | |
Polyclonal | |
Unconjugated |
IHC, WB | |
Human, Mouse, Rat | |
Rabbit | |
Polyclonal | |
Unconjugated |
Participating in our Biorbyt product reviews program enables you to support fellow scientists by sharing your firsthand experience with our products.
Login to Submit a Review