You have no items in your shopping cart.
Description
Research Area
Images & Validation
−| Tested Applications | FC, IF, IHC-Fr, IHC-P, WB |
|---|---|
| Dilution Range | WB=1:500-2000, IHC-P=1:100-500, IHC-F=1:100-500, IF=1:100-500, Flow-Cyt=1μg/Test |
| Reactivity | Human, Mouse, Rat |
| Predicted Reactivity | Bovine, Equine, Gallus, Porcine, Rabbit, Sheep |
Related Conjugates & Formulations
−Key Properties
−| Antibody Type | Primary Antibody |
|---|---|
| Host | Rabbit |
| Clonality | Polyclonal |
| Isotype | IgG |
| Immunogen | KLH conjugated KLH conjugated synthetic peptide derived from human MAP3K7 (521-605/605aa) |
| Target | MAP3K7 |
| Molecular Weight | 67 kDa |
| Purification | Affinity purified by Protein A |
| Conjugation | Unconjugated |
Storage & Handling
−| Storage | Maintain refrigerated at 2-8°C for up to 2 weeks. For long term storage store at -20°C in small aliquots to prevent freeze-thaw cycles. |
|---|---|
| Form/Appearance | Liquid |
| Buffer/Preservatives | 0.01M TBS (pH7.4) with 1% rAlbumin, 0.02% Proclin300 and 50% Glycerol. |
| Concentration | 1mg/ml |
| Expiration Date | 12 months from date of receipt. |
| Disclaimer | For research use only |
Alternative Names
−Similar Products
−Phospho-TAK1 (Thr187) Rabbit Polyclonal Antibody [orb7049]
FC, IF, IHC-Fr, IHC-P, WB
Bovine, Equine, Gallus, Porcine, Rabbit
Human, Mouse, Rat
Rabbit
Polyclonal
Unconjugated
100 μl, 50 μl, 200 μlMARK3 Rabbit Polyclonal Antibody [orb256677]
IF, IHC, WB
Gallus, Human, Mouse, Rat, Zebrafish
Rabbit
Polyclonal
Unconjugated
30 μl, 100 μl, 200 μl, 50 μlMARK3 Rabbit Polyclonal Antibody [orb1743762]
ELISA, FC, IHC, WB
Human, Mouse, Rat
Rabbit
Polyclonal
Unconjugated
100 μgMouse Map3k7 Antibody (N-term) [orb32004]
IHC-P, WB
Rat
Human, Mouse
Rabbit
Polyclonal
Unconjugated
50 μl, 100 μlPhospho-TAK1 (Ser192) Rabbit Polyclonal Antibody [orb7051]
ICC, IF, IHC-Fr, IHC-P
Bovine, Equine, Gallus, Mouse, Porcine, Rabbit, Rat
Human
Rabbit
Polyclonal
Unconjugated
200 μl, 50 μl, 100 μl

Quality Guarantee
Explore bioreagents carefree to elevate your research. All our products are rigorously tested for performance. If a product does not perform as described on its datasheet, our scientific support team will provide expert troubleshooting, a prompt replacement, or a refund. For full details, please see our Terms & Conditions and Buying Guide. Contact us at [email protected].

Blank control: K562. Primary Antibody (green line): Rabbit Anti-TAK1 antibody (orb7046), dilution: 1 µg/10^6 cells, Isotype Control Antibody (orange line): Rabbit IgG. Secondary Antibody: Goat anti-rabbit IgG-FITC, dilution: 1 µg/Test. Protocol, The cells were fixed with 4% PFA (10 min at room temperature) and then permeabilized with 0.1% PBST for 20 min at room temperature. The cells were then incubated in 5% BSA to block non-specific protein-protein interactions for 30 min at room temperature. Cells stained with Primary Antibody for 30 min at room temperature. The secondary antibody used for 40 min at room temperature. Acquisition of 20000 events was performed.

Paraformaldehyde-fixed, paraffin embedded (mouse stomach), Antigen retrieval by boiling in sodium citrate buffer (pH6.0) for 15 min, Block endogenous peroxidase by 3% hydrogen peroxide for 20 minutes, Blocking buffer (normal goat serum) at 37°C for 30 min, Antibody incubation with (TAK1) Polyclonal Antibody, Unconjugated (orb7046) at 1:200 overnight at 4°C, followed by operating according to SP Kit (Rabbit) instructionsand DAB staining.

Paraformaldehyde-fixed, paraffin embedded (rat stomach), Antigen retrieval by boiling in sodium citrate buffer (pH6.0) for 15 min, Block endogenous peroxidase by 3% hydrogen peroxide for 20 minutes, Blocking buffer (normal goat serum) at 37°C for 30 min, Antibody incubation with (TAK1) Polyclonal Antibody, Unconjugated (orb7046) at 1:200 overnight at 4°C, followed by operating according to SP Kit (Rabbit) instructionsand DAB staining.

Sample: Lane 1: MCF-7 (Human) Cell Lysate at 30 ug, Lane 2: Hela (Human) Cell Lysate at 30 ug, Primary: Anti-TAK1 (orb7046) at 1/1000 dilution, Secondary: IRDye800CW Goat Anti-Rabbit IgG at 1/20000 dilution, Predicted band size: 78 kD, Observed band size: 75 kD.

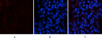
Tissue/Cell: rat brain tissue, 4% Paraformaldehyde-fixed and paraffin-embedded, Antigen retrieval: citrate buffer (0.01M, pH6.0), Boiling bathing for 15 min, Block endogenous peroxidase by 3% Hydrogen peroxide for 30 min, Blocking buffer (normal goat serum) at 37°C for 20 min, Incubation: Anti-TAK1/MAP3K7 Polyclonal Antibody, Unconjugated (orb7046) 1:200, overnight at 4°C, followed by conjugation to the secondary antibody and DAB staining.
Quick Database Links
UniProt Details
−Documents Download
Request a Document
Protocol Information
Filter by Applications
Filter by Species
Le Xu et al. Effect of Limosilactobacillus reuteri SBC5-3 Cell-free Supernatant on Growth Performance, Intestinal Inflammation, and Microbiota in Weaned Piglets Challenged With Enterotoxigenic Escherichia coli K88 Probiotics Antimicrob Proteins ., (2025)
Applications
Reactivity
TAK1 Rabbit Polyclonal Antibody (orb7046)
Participating in our Biorbyt product reviews program enables you to support fellow scientists by sharing your firsthand experience with our products.
Login to Submit a Review






















