You have no items in your shopping cart.
PPAR γ Rabbit pAb
Description
Images & Validation
−| Tested Applications | IHC, WB |
|---|---|
| Dilution range | WB 1:500-1,000 IHC 1:200-500 |
| Reactivity | Human, Mouse, Rat |
Key Properties
−| Clonality | Polyclonal |
|---|---|
| Isotype | IgG |
| Immunogen | Recombinant Protein |
| Molecular Weight | 53,57kDa |
Storage & Handling
−| Storage | Maintain refrigerated at 2-8°C for up to 2 weeks. For long term storage store at -20°C in small aliquots to prevent freeze-thaw cycles. |
|---|---|
| Buffer/Preservatives | PBS with 0.02% sodium azide and 50% glycerol pH 7.4. |
| Concentration | 1mg/mL |
| Disclaimer | For research use only |
Alternative Names
−Similar Products
−PPAR-γ rabbit pAb [orb766126]
ELISA, IF, IHC-P, WB
Human, Mouse, Rat
Polyclonal
Unconjugated
100 μl, 50 μlPPAR-γ (phospho Ser112) rabbit pAb [orb764303]
ELISA, WB
Human, Mouse, Rat
Polyclonal
Unconjugated
50 μl, 100 μlPPAR gamma Rabbit pAb, Pacific Blue conjugated [orb2825441]
FC, ICC, IF
Bovine, Gallus, Porcine, Rabbit, Sheep
Human, Mouse, Rat
Rabbit
Polyclonal
Pacific Blue
100 μlPPAR gamma Rabbit pAb, BF700 conjugated [orb2825442]
FC, ICC, IF
Bovine, Gallus, Porcine, Rabbit, Sheep
Human, Mouse, Rat
Rabbit
Polyclonal
BF700
100 μlPPAR gamma Rabbit pAb, IRDye 800CW conjugated [orb2825443]
WB
Bovine, Gallus, Porcine, Rabbit, Sheep
Human, Mouse, Rat
Rabbit
Polyclonal
IRDye800
100 μl

Quality Guarantee
Explore bioreagents carefree to elevate your research. All our products are rigorously tested for performance. If a product does not perform as described on its datasheet, our scientific support team will provide expert troubleshooting, a prompt replacement, or a refund. For full details, please see our Terms & Conditions and Buying Guide. Contact us at [email protected].

Western blot analysis of 1) Hela, 2) 3T3, 3) PC12 with PPARγ Rabbit pAb orb763748 diluted at 1:1, 000.

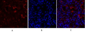
Immunohistochemical analysis of paraffin-embedded Mouse Heart Tissue using PPAR γ (orb763748) Rabbit pAb diluted at 1:500.
Quick Database Links
UniProt Details
−Documents Download
Request a Document
Protocol Information
PPAR γ Rabbit pAb (orb763748)
Participating in our Biorbyt product reviews program enables you to support fellow scientists by sharing your firsthand experience with our products.
Login to Submit a Review






