You have no items in your shopping cart.
You have no items in your shopping cart.
| Catalog Number | orb766104 |
|---|---|
| Category | Antibodies |
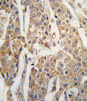
| Description | Rabbit polyclonal antibody to PKM2 |
| Clonality | Polyclonal |
| Isotype | IgG |
| Conjugation | Unconjugated |
| Reactivity | Human, Mouse, Rat |
| Concentration | 1 mg/ml |
| Buffer/Preservatives | PBS with 0.02% sodium azide and 50% glycerol pH 7.4. |
| Purification | The antibody was affinity-purified from rabbit antiserum by affinity-chromatography using epitope-specific immunogen. |
| Immunogen | The antiserum was produced against synthesized peptide derived from human PKM2. AA range:181-230 |
| MW | 58 |
| Tested applications | ELISA, IF, IHC-P, WB |
| Dilution range | IF: 1:50-200 WB 1:500-2000, ELISA 1:10000-20000 IHC 1:50-300 |
| Source | Rabbit |
| Storage | Maintain refrigerated at 2-8°C for up to 2 weeks. For long term storage store at -20°C in small aliquots to prevent freeze-thaw cycles. |
| Alternative names | Anti-PKM antibody, anti-OIP3 antibody, anti-PK2 an Read more... |
| Note | For research use only |
| Expiration Date | 12 months from date of receipt. |

Immunofluorescence analysis of rat-lung tissue. 1, PKM2 Polyclonal Antibody (red) was diluted at 1:200 (4°C, overnight). 2, Cy3 labled Secondary antibody was diluted at 1:300 (room temperature, 50min). 3, Picture B: DAPI (blue) 10min. Picture A:Target. Picture B: DAPI. Picture C: merge of A + B.

Immunofluorescence analysis of rat-lung tissue. 1, PKM2 Polyclonal Antibody (red) was diluted at 1:200 (4°C, overnight). 2, Cy3 labled Secondary antibody was diluted at 1:300 (room temperature, 50min). 3, Picture B: DAPI (blue) 10min. Picture A:Target. Picture B: DAPI. Picture C: merge of A + B.

Immunofluorescence analysis of rat-kidney tissue. 1, PKM2 Polyclonal Antibody (red) was diluted at 1:200 (4°C, overnight). 2, Cy3 labled Secondary antibody was diluted at 1:300 (room temperature, 50min). 3, Picture B: DAPI (blue) 10min. Picture A:Target. Picture B: DAPI. Picture C: merge of A + B.

Immunofluorescence analysis of rat-kidney tissue. 1, PKM2 Polyclonal Antibody (red) was diluted at 1:200 (4°C, overnight). 2, Cy3 labled Secondary antibody was diluted at 1:300 (room temperature, 50min). 3, Picture B: DAPI (blue) 10min. Picture A:Target. Picture B: DAPI. Picture C: merge of A + B.
FC | |
Bovine, Guinea pig, Mouse, Porcine, Rabbit, Rat, Sheep | |
Human | |
Rabbit | |
Polyclonal | |
Pacific Blue |
FC | |
Bovine, Guinea pig, Mouse, Porcine, Rabbit, Rat, Sheep | |
Human | |
Rabbit | |
Polyclonal | |
BF700 |
Participating in our Biorbyt product reviews program enables you to support fellow scientists by sharing your firsthand experience with our products.
Login to Submit a Review