You have no items in your shopping cart.
GAD67 Rabbit Polyclonal Antibody
Description
Images & Validation
−| Tested Applications | FC, IF, IHC-Fr, IHC-P, WB |
|---|---|
| Dilution range | WB=1:500-2000, IHC-P=1:100-500, IHC-F=1:100-500, IF=1:100-500, Flow-Cyt=1ug/Test |
| Reactivity | Human, Mouse |
| Predicted Reactivity | Rat |
Related Conjugates & Formulations
−Key Properties
−| Antibody Type | Primary Antibody |
|---|---|
| Host | Rabbit |
| Clonality | Polyclonal |
| Isotype | IgG |
| Immunogen | KLH conjugated synthetic peptide derived from human GAD67 (455-594/594aa) |
| Target | GAD1 |
| Molecular Weight | 67 kDa |
| Purification | Affinity purified by Protein A |
| Conjugation | Unconjugated |
Storage & Handling
−| Storage | Maintain refrigerated at 2-8°C for up to 2 weeks. For long term storage store at -20°C in small aliquots to prevent freeze-thaw cycles. |
|---|---|
| Form/Appearance | Liquid |
| Buffer/Preservatives | 0.01M TBS (pH7.4) with 1% rAlbumin, 0.02% Proclin300 and 50% Glycerol. |
| Concentration | 1mg/ml |
| Disclaimer | For research use only |
Alternative Names
−Similar Products
−GAD67 antibody [orb555997]
ICC, IF, IHC, WB
Human, Mouse, Rat, Zebrafish
Rabbit
Polyclonal
Unconjugated
100 μlGAD-65/67 rabbit pAb [orb765265]
ELISA, IF, IHC-P, WB
Human, Mouse
Polyclonal
Unconjugated
50 μl, 100 μlGad1 Rabbit Polyclonal Antibody [orb330748]
IHC, WB
Bovine, Canine, Equine, Guinea pig, Rabbit, Rat, Zebrafish
Human, Mouse
Rabbit
Polyclonal
Unconjugated
100 μl

Quality Guarantee
Explore bioreagents carefree to elevate your research. All our products are rigorously tested for performance. If a product does not perform as described on its datasheet, our scientific support team will provide expert troubleshooting, a prompt replacement, or a refund. For full details, please see our Terms & Conditions and Buying Guide. Contact us at [email protected].

Blank control: K562. Primary Antibody (green line): Rabbit Anti-GAD67 antibody (orb10681), Dilution: 1 µg/10^6 cells, Isotype Control Antibody (orange line): Rabbit IgG. Secondary Antibody: Goat anti-rabbit IgG-FITC, Dilution: 0.5 µg/Test. Protocol, The cells were incubated in 5% BSA to block non-specific protein-protein interactions for 30 min at room temperature. Cells stained with Primary Antibody for 30 min at room temperature. The secondary antibody used for 40 min at room temperature. Acquisition of 20000 events was performed.

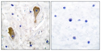
Paraformaldehyde-fixed, paraffin embedded (Mouse brain), Antigen retrieval by boiling in sodium citrate buffer (pH6.0) for 15 min, Block endogenous peroxidase by 3% hydrogen peroxide for 20 minutes, Blocking buffer (normal goat serum) at 37°C for 30 min, Antibody incubation with (GAD67) Polyclonal Antibody, Unconjugated (orb10681) at 1:400 overnight at 4°C, followed by operating according to SP Kit (Rabbit) instructionsand DAB staining.

Sample: Raji (Human) Cell Lysate at 40 ug, Primary: Anti-GAD67 (orb10681) at 1/300 dilution, Secondary: IRDye800CW Goat Anti-Rabbit IgG at 1/20000 dilution, Predicted band size: 67 kD, Observed band size: 67 kD.
Quick Database Links
UniProt Details
−Documents Download
Request a Document
Protocol Information
GAD67 Rabbit Polyclonal Antibody (orb10681)
Participating in our Biorbyt product reviews program enables you to support fellow scientists by sharing your firsthand experience with our products.
Login to Submit a Review






















