You have no items in your shopping cart.
You have no items in your shopping cart.
| Catalog Number | orb137920 |
|---|---|
| Category | Antibodies |
| Description | NAK/TBK1 Antibody |
| Clonality | Polyclonal |
| Species/Host | Rabbit |
| Isotype | Rabbit IgG |
| Conjugation | Unconjugated |
| Reactivity | Human, Mouse, Rat |
| Form/Appearance | Lyophilized |
| Concentration | Adding 0.2 ml of distilled water will yield a concentration of 500 μg/ml. |
| Purification | Immunogen affinity purified. |
| Immunogen | A synthetic peptide corresponding to a sequence at the C-terminus of human NAK, identical to the related rat and mouse sequences. |
| UniProt ID | Q9UHD2 |
| MW | 100 kDa |
| Tested applications | IHC, WB |
| Application notes | Immunohistochemistry (Paraffin-embedded Section), 0.5-1μg/ml, Human, Rat, MouseWestern blot, 0.1-0.5μg/ml, Human, Rat, Mouse. Add 0.2ml of distilled water will yield a concentration of 500ug/ml |
| Cross Reactivity | No cross-reactivity with other proteins |
| Antibody Type | Primary Antibody |
| Storage | Maintain refrigerated at 2-8°C for up to 2 weeks. For long term storage store at -20°C in small aliquots to prevent freeze-thaw cycles. |
| Alternative names | Serine/threonine-protein kinase TBK1; 2.7.11.1; NF Read more... |
| Note | For research use only |

Immunohistochemical analysis of formalin-fixed paraffin embedded Human Prostatic Cancer Tissue using TBK1 antibody

Western blot analysis of Lane 1: Rat Testis Tissue Lysate, Lane 2: Rat Liver Tissue Lysate using TBK1 antibody

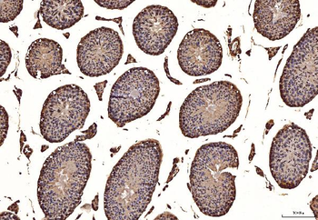
Immunohistochemical analysis of formalin-fixed paraffin embedded Rat Testis Tissue using TBK1 antibody
ICC, IF, IHC, WB | |
Human, Mouse, Rat | |
Rabbit | |
Monoclonal | |
Unconjugated |
IP, WB | |
Human, Mouse, Rat | |
Rabbit | |
Monoclonal | |
Unconjugated |
IHC, IHC-P, WB | |
Bovine, Canine, Equine, Hamster, Human, Monkey, Mouse, Porcine, Rabbit, Rat | |
Mouse | |
Monoclonal | |
Unconjugated |
Participating in our Biorbyt product reviews program enables you to support fellow scientists by sharing your firsthand experience with our products.
Login to Submit a Review