You have no items in your shopping cart.
AGT Rabbit Polyclonal Antibody
Description
Research Area
Images & Validation
−| Tested Applications | WB |
|---|---|
| Reactivity | Human |
| Predicted Reactivity | Canine, Equine, Mouse, Rabbit, Rat, Sheep |
Key Properties
−| Host | Rabbit |
|---|---|
| Clonality | Polyclonal |
| Immunogen | The immunogen is a synthetic peptide directed towards the N terminal region of human AGT |
| Target | AGT |
| Molecular Weight | 53kDa |
| Purification | Affinity Purified |
| Conjugation | Unconjugated |
Storage & Handling
−| Storage | Maintain refrigerated at 2-8°C for up to 2 weeks. For long term storage store at -20°C in small aliquots to prevent freeze-thaw cycles. |
|---|---|
| Buffer/Preservatives | Liquid. Purified antibody supplied in 1x PBS buffer with 0.09% (w/v) sodium azide and 2% sucrose. |
| Concentration | 0.5 mg/ml |
| Disclaimer | For research use only |
Alternative Names
−Similar Products
−Angiotensinogen antibody [N1C3] [orb556118]
ICC, IHC-P, WB
Human, Mouse, Rat
Rabbit
Polyclonal
Unconjugated
100 μlAplnr Rabbit Polyclonal Antibody [orb584535]
WB
Canine, Equine, Human, Rabbit, Rat
Mouse
Rabbit
Polyclonal
Unconjugated
100 μl

Quality Guarantee
Explore bioreagents carefree to elevate your research. All our products are rigorously tested for performance. If a product does not perform as described on its datasheet, our scientific support team will provide expert troubleshooting, a prompt replacement, or a refund. For full details, please see our Terms & Conditions and Buying Guide. Contact us at [email protected].

25 ug of the indicated Human whole cell extracts was loaded onto a 10-20% SDS-PAGE gel. 3 ug/ml of the antibody was used in this experiment.

Sample Tissue: Human Jurkat Whole Cell, Antibody dilution: 1 ug/ml.

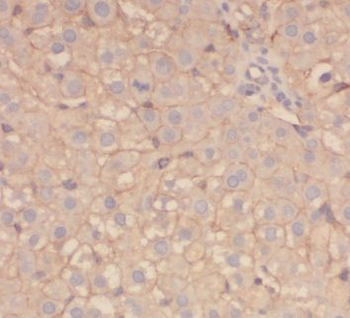
Sample Type: HepG2, Antibody dilution: 1.0 ug/ml. AGT is supported by BioGPS gene expression data to be expressed in HepG2.

WB Suggested Anti-AGT Antibody Titration: 0.2-1 ug/ml, ELISA Titer: 1:62500, Positive Control: Human heart.
Documents Download
Request a Document
AGT Rabbit Polyclonal Antibody (orb333716)
Participating in our Biorbyt product reviews program enables you to support fellow scientists by sharing your firsthand experience with our products.
Login to Submit a Review![Angiotensinogen antibody [N1C3]](/images/pub/media/catalog/product/a/n/angiotensin-ii-antibody_orb556118_ifa_1.jpg)
![Angiotensinogen antibody [N1C3]](/images/pub/media/catalog/product/a/n/angiotensin-ii-antibody_orb556118_ihc_1.jpg)
![Angiotensinogen antibody [N1C3]](/images/pub/media/catalog/product/a/n/angiotensin-ii-antibody_orb556118_wb_1.jpg)
![Angiotensinogen antibody [N1C3]](/images/pub/media/catalog/product/a/n/angiotensin-ii-antibody_orb556118_wb_2.jpg)
![Angiotensinogen antibody [N1C3]](/images/pub/media/catalog/product/a/n/angiotensin-ii-antibody_orb556118_wb_3.jpg)
![Angiotensinogen antibody [N1C3]](/images/pub/media/catalog/product/a/n/angiotensin-ii-antibody_orb556118_wb_4.jpg)







