You have no items in your shopping cart.
CD6 Antibody
Description
Images & Validation
−| Tested Applications | IHC |
|---|---|
| Reactivity | Human |
Key Properties
−| Antibody Type | Recombinant Antibody |
|---|---|
| Host | Rabbit |
| Clonality | Monoclonal |
| Isotype | IgG |
| Clone No. | C6/7022R |
| Immunogen | Human recombinant full-length CD6 protein |
| Target | CD6 |
| Source/Expression System | HEK293 cells |
| Molecular Weight | 90-130kDa |
| Conjugation | Unconjugated |
Storage & Handling
−| Storage | Maintain refrigerated at 2-8°C for up to 2 weeks. For long term storage store at -20°C in small aliquots to prevent freeze-thaw cycles. |
|---|---|
| Form/Appearance | 200ug/ml of Ab purified from Bioreactor Concentrate by Protein A/G. Prepared in 10mM PBS with 0.05% rAlbumin & 0.05% azide. Also available WITHOUT rAlbumin & azide at 1.0mg/ml. |
| Expiration Date | 12 months from date of receipt. |
| Disclaimer | For research use only |
Alternative Names
−Similar Products
−Human T-cell differentiation Antigen CD6 (CD6) ELISA Kit [orb2284536]
Human
31.25-2000 pg/mL
11.5 pg/mL
96 T, 48 T

Quality Guarantee
Explore bioreagents carefree to elevate your research. All our products are rigorously tested for performance. If a product does not perform as described on its datasheet, our scientific support team will provide expert troubleshooting, a prompt replacement, or a refund. For full details, please see our Terms & Conditions and Buying Guide. Contact us at [email protected].

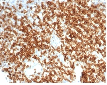
Formalin-fixed, paraffin-embedded human tonsil stained with CD6 Recombinant Rabbit Monoclonal Antibody (C6/7022R).

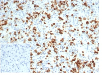
IHC analysis of formalin-fixed, paraffin-embedded human spleen. Staining using C6/7022R at 2 ug/ml in PBS for 30 min RT. Inset: PBS instead of primary antibody; secondary only negative control.

SDS-PAGE Analysis of Purified CD6 Rabbit Recombinant Monoclonal Antibody (C6/7022R). Confirmation of Purity and Integrity of Antibody.
Quick Database Links
UniProt Details
−Documents Download
Request a Document
CD6 Antibody (orb1410566)
Participating in our Biorbyt product reviews program enables you to support fellow scientists by sharing your firsthand experience with our products.
Login to Submit a Review



















