You have no items in your shopping cart.
CALD1 Antibody
Description
Research Area
Images & Validation
−| Tested Applications | IHC, WB |
|---|---|
| Reactivity | Human |
Key Properties
−| Antibody Type | Recombinant Antibody |
|---|---|
| Host | Mouse |
| Clonality | Monoclonal |
| Isotype | IgG1 |
| Clone No. | rCALD1/7266 |
| Immunogen | Recombinant human full-length CALD1 protein |
| Target | CALD1 |
| Source/Expression System | HEK293 cells |
| Molecular Weight | 150kDa |
| Conjugation | Unconjugated |
Storage & Handling
−| Storage | Maintain refrigerated at 2-8°C for up to 2 weeks. For long term storage store at -20°C in small aliquots to prevent freeze-thaw cycles. |
|---|---|
| Form/Appearance | 200ug/ml of Ab produced in HEK293 cell mammalian-based expression system. Prepared in 10mM PBS with 0.05% rAlbumin & 0.05% azide. Also available WITHOUT rAlbumin & azide at 1.0mg/ml. |
| Expiration Date | 12 months from date of receipt. |
| Disclaimer | For research use only |
Alternative Names
−Similar Products
−Caldesmon Recombinant Mouse Monoclonal Antibody [orb1173066]
IF, IHC-Fr, IHC-P, WB
Human, Mouse, Rat
Human, Mouse, Rat
Mouse
Recombinant
Unconjugated
25 μl, 100 μl, 50 μlCaldesmon/CALD1 Rabbit Polyclonal Antibody [orb371656]
FC, ICC, IF, IHC, WB
Human, Mouse, Rat
Rabbit
Polyclonal
Unconjugated
100 μgCaldesmon (phospho Ser789) rabbit pAb Antibody [orb764394]
ELISA, IF, IHC, WB
Human, Mouse, Rat
Polyclonal
Unconjugated
100 μl, 50 μlCaldesmon Recombinant Rabbit Monoclonal Antibody [orb1151981]
IF, IHC-Fr, IHC-P, WB
Mouse, Rat
Human, Mouse, Rat
Rabbit
Recombinant
Unconjugated
25 μl, 100 μl, 50 μl

Quality Guarantee
Explore bioreagents carefree to elevate your research. All our products are rigorously tested for performance. If a product does not perform as described on its datasheet, our scientific support team will provide expert troubleshooting, a prompt replacement, or a refund. For full details, please see our Terms & Conditions and Buying Guide. Contact us at [email protected].

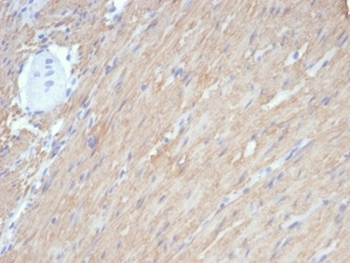
Formalin-fixed, paraffin-embedded human smooth muscle stained with h-CALD Recombinant Mouse Monoclonal Antibody (rCALD1/7266). HIER: Tris/EDTA, pH9.0, 45 min. 2°: HRP-polymer, 30 min. DAB, 5 min.

Formalin-fixed, paraffin-embedded human smooth muscle stained with h-CALD Recombinant Mouse Monoclonal Antibody (rCALD1/7266). Inset: PBS instead of primary antibody; secondary only negative control.

SDS-PAGE Analysis of Purified Caldesmon, HMW Recombinant Mouse Monoclonal Antibody (rCALD1/7266). Confirmation of Purity and Integrity of Antibody.
Quick Database Links
UniProt Details
−Documents Download
Request a Document
Protocol Information
CALD1 Antibody (orb1410346)
Participating in our Biorbyt product reviews program enables you to support fellow scientists by sharing your firsthand experience with our products.
Login to Submit a Review
























