You have no items in your shopping cart.
IRF7 Rabbit mAb Antibody
Description
Images & Validation
−| Tested Applications | FC, ICC, IHC, IP, WB |
|---|---|
| Reactivity | Human, Mouse, Rat |
Key Properties
−| Antibody Type | Recombinant Antibody |
|---|---|
| Host | Rabbit |
| Clonality | Monoclonal |
| Conjugation | Unconjugated |
Storage & Handling
−| Storage | Maintain refrigerated at 2-8°C for up to 2 weeks. For long term storage store at -20°C in small aliquots to prevent freeze-thaw cycles. |
|---|---|
| Expiration Date | 12 months from date of receipt. |
| Disclaimer | For research use only |
Similar Products
−IRF7 Rabbit mAb Antibody [orb1951575]
FC, ICC, IHC, IP, WB
Human, Mouse, Rat
Rabbit
Monoclonal
Unconjugated
100 μl, 50 μlRecombinant IRF7 Rabbit mAb Antibody [orb2989494]
WB
Human, Mouse, Rat
Rabbit
Monoclonal
Unconjugated
30 μl, 50 μl, 100 μl, 200 μlIRF7 Rabbit mAb Antibody [orb3014654]
ICC, IHC-Fr, IHC-P, IP, WB
Human, Rat
Rabbit
Monoclonal
Unconjugated
100 μl

Quality Guarantee
Explore bioreagents carefree to elevate your research. All our products are rigorously tested for performance. If a product does not perform as described on its datasheet, our scientific support team will provide expert troubleshooting, a prompt replacement, or a refund. For full details, please see our Terms & Conditions and Buying Guide. Contact us at [email protected].

All lanes use the Antibody at 1:1K dilution for 1 hour at room temperature.

All lanes use the Antibody at 1:1K dilution for 1 hour at room temperature.

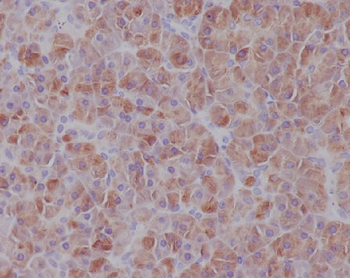
Immunohistochemical analysis of paraffin-embedded human pancreas, using IRF7 Antibody.

Western blot analysis of IRF7 expression in Jurkat cell lysate.
Quick Database Links
UniProt Details
−Documents Download
Request a Document
Protocol Information
IRF7 Rabbit mAb Antibody (orb1472415)
Participating in our Biorbyt product reviews program enables you to support fellow scientists by sharing your firsthand experience with our products.
Login to Submit a Review

