You have no items in your shopping cart.
CASP8 Mouse Monoclonal Antibody
Description
Research Area
Images & Validation
−| Tested Applications | ELISA, IF, IHC, IP, WB |
|---|---|
| Dilution Range | WB: 1:500-1:5000; IP: 1:200-1:2000; IHC: 1:100-1:400; IF: 1:50-1:500 |
| Reactivity | Human |
Key Properties
−| Antibody Type | Primary Antibody |
|---|---|
| Host | Mouse |
| Clonality | Monoclonal |
| Isotype | IgG1 |
| Immunogen | caspase 8, apoptosis-related cysteine peptidase |
| Target | CASP8 |
| Molecular Weight | 50-55 kDa, 25-32 kDa |
| Purity | ≥95% as determined by SDS-PAGE |
| Purification | Protein A+G purified |
| Conjugation | Unconjugated |
Storage & Handling
−| Storage | Maintain refrigerated at 2-8°C for up to 2 weeks. For long term storage store at -20°C in small aliquots to prevent freeze-thaw cycles. |
|---|---|
| Form/Appearance | liquid |
| Expiration Date | 12 months from date of receipt. |
| Disclaimer | For research use only |
Alternative Names
−Similar Products
−Caspase 8 Mouse Monoclonal Antibody [orb500937]
WB
Rat
Human, Mouse
Mouse
Monoclonal
Unconjugated
200 μg, 50 μl, 100 μl, 200 μlCaspase-8 CASP8 Rabbit Monoclonal Antibody [orb547006]
ICC, IF, IHC, WB
Human, Mouse, Rat
Rabbit
Monoclonal
Unconjugated
100 μl

Quality Guarantee
Explore bioreagents carefree to elevate your research. All our products are rigorously tested for performance. If a product does not perform as described on its datasheet, our scientific support team will provide expert troubleshooting, a prompt replacement, or a refund. For full details, please see our Terms & Conditions and Buying Guide. Contact us at [email protected].

Immunofluorescent analysis of (-20℃ Ethanol) fixed HeLa cells using orb625440 (Caspase 8 Antibody) at dilution of 1:100 and Alexa Fluor 488-conjugated AffiniPure Goat Anti-Mouse IgG (H+L).

IP Result of anti-Caspase 8 (IP: orb625440, 5 ug; Detection: orb625440 1:500) with HepG2 cells lysate 2400 ug.

HepG2 cells were subjected to SDS PAGE followed by western blot with orb625440 (CASP8 antibody) at dilution of 1:1000.

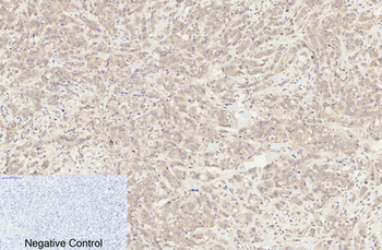
Immunohistochemistry of paraffin-embedded human liver cancer tissue slide using orb625440 (Caspase 8 Antibody) at dilution of 1:200 heat mediated antigen retrieved with Tris-EDTA buffer (pH9).
Quick Database Links
UniProt Details
−Documents Download
Request a Document
Protocol Information
CASP8 Mouse Monoclonal Antibody (orb625440)
Participating in our Biorbyt product reviews program enables you to support fellow scientists by sharing your firsthand experience with our products.
Login to Submit a Review















