You have no items in your shopping cart.
Recombinant Caldesmon Antibody / CAD / CALD1 (HMW)
Description
Research Area
Images & Validation
−| Tested Applications | IHC-P, WB |
|---|---|
| Dilution Range | Western blot: 1-2ug/ml,Immunohistochemistry (FFPE): 0.25-0.5ug/ml |
| Reactivity | Human |
| Application Notes |
Key Properties
−| Antibody Type | Primary Antibody |
|---|---|
| Host | Mouse |
| Clonality | Recombinant |
| Isotype | Mouse IgG1, kappa |
| Clone No. | rCALD1/820 |
| Immunogen | Recombinant full-length human CALD1 protein was used as the immunogen for the recombinant Caldesmon antibody. |
| Purification | Protein A/G affinity |
| Conjugation | Unconjugated |
Storage & Handling
−| Storage | Maintain refrigerated at 2-8°C for up to 2 weeks. For long term storage store at -20°C in small aliquots to prevent freeze-thaw cycles. |
|---|---|
| Buffer/Preservatives | 0.2 mg/ml in 1X PBS with 0.1 mg/ml rAlbumin, 0.05% sodium azide |
| Expiration Date | 12 months from date of receipt. |
| Disclaimer | For research use only |
Similar Products
−Recombinant Caldesmon Antibody / CAD / CALD1 (HMW) [orb2637256]
IHC-P, WB
Human
Mouse
Recombinant
Unconjugated
100 μg

Quality Guarantee
Explore bioreagents carefree to elevate your research. All our products are rigorously tested for performance. If a product does not perform as described on its datasheet, our scientific support team will provide expert troubleshooting, a prompt replacement, or a refund. For full details, please see our Terms & Conditions and Buying Guide. Contact us at [email protected].

Western blot testing of human ovary tissue lysate using recombinant Caldesmon antibody (clone rCALD1/820). Predicted molecular weight ~93 kDa, can be observed at 70-80 kDa (non muscle tissue) and 120-150 kDa (smooth muscle).

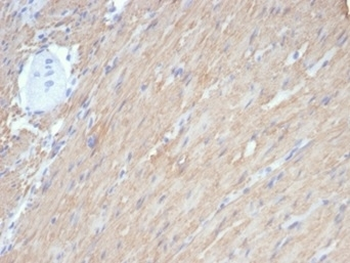
IHC staining of FFPE human leiomyosarcoma tissue with recombinant Caldesmon antibody (clone rCALD1/820). HIER: boil tissue sections in pH9 10mM Tris with 1mM EDTA for 20 min and allow to cool before testing.

SDS-PAGE analysis of purified, BSA-free recombinant Caldesmon antibody (clone rCALD1/820) as confirmation of integrity and purity.
Quick Database Links
UniProt Details
−Documents Download
Request a Document
Protocol Information
Recombinant Caldesmon Antibody / CAD / CALD1 (HMW) (orb1151813)
Participating in our Biorbyt product reviews program enables you to support fellow scientists by sharing your firsthand experience with our products.
Login to Submit a Review

