You have no items in your shopping cart.
Description
Research Area
Images & Validation
−| Tested Applications | ELISA, IHC |
|---|---|
| Dilution Range | Immunohistochemistry(Paraffin-embedded Section), 2-5 μg/ml, Human ELISA, 0.1-0.5 μg/ml, - |
| Reactivity | Human |
Key Properties
−| Antibody Type | Primary Antibody |
|---|---|
| Host | Rabbit |
| Clonality | Polyclonal |
| Isotype | Rabbit IgG |
| Immunogen | E.coli-derived human Apelin/APLN recombinant protein (Position: S24-F77). |
| Target | Apelin |
| Molecular Weight | 41 kDa |
| Purification | Immunogen affinity purified. |
| Conjugation | Unconjugated |
Storage & Handling
−| Storage | Maintain refrigerated at 2-8°C for up to 2 weeks. For long term storage store at -20°C in small aliquots to prevent freeze-thaw cycles. |
|---|---|
| Form/Appearance | Lyophilized |
| Buffer/Preservatives | Each vial contains 4 mg Trehalose, 0.9 mg NaCl, 0.2 mg Na2HPO4. |
| Concentration | Adding 0.2 ml of distilled water will yield a concentration of 500 μg/ml. |
| Expiration Date | 12 months from date of receipt. |
| Disclaimer | For research use only |
Alternative Names
−Similar Products
−Apelin/APLN Rabbit Polyclonal Antibody [orb47968]
WB
Human, Mouse, Rat
Rabbit
Polyclonal
Unconjugated
100 μgApelin/APLN Polyclonal Antibody [orb3150952]
ELISA, IHC, WB
Mouse, Rat
Rabbit
Polyclonal
Unconjugated
50 μg, 100 μgApelin/APLN Rabbit Polyclonal Antibody (PE) [orb2578590]
FC
Human, Mouse, Rat
Rabbit
Polyclonal
PE
100 μgApelin/APLN Rabbit Polyclonal Antibody (APC) [orb2578591]
FC
Human, Mouse, Rat
Rabbit
Polyclonal
APC
100 μgApelin/APLN Rabbit Polyclonal Antibody (HRP) [orb2578592]
ELISA, IHC, WB
Human, Mouse, Rat
Rabbit
Polyclonal
HRP
100 μg

Quality Guarantee
Explore bioreagents carefree to elevate your research. All our products are rigorously tested for performance. If a product does not perform as described on its datasheet, our scientific support team will provide expert troubleshooting, a prompt replacement, or a refund. For full details, please see our Terms & Conditions and Buying Guide. Contact us at [email protected].

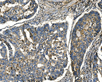
IHC analysis of Apelin/APLN using anti-Apelin/APLN antibody. Apelin/APLN was detected in a paraffin-embedded section of human adenocarcinoma of the right colon tissue. Heat mediated antigen retrieval was performed in EDTA buffer (pH8.0, epitope retrieval solution). The tissue section was blocked with 10% goat serum. The tissue section was then incubated with 2 µg/ml rabbit anti-Apelin/APLN Antibody overnight at 4°C. Peroxidase Conjugated Goat Anti-rabbit IgG was used as secondary antibody and incubated for 30 minutes at 37°C. The tissue section was developed using HRP Conjugated Rabbit IgG Super Vision Assay Kit with DAB as the chromogen.

IHC analysis of Apelin/APLN using anti-Apelin/APLN antibody. Apelin/APLN was detected in a paraffin-embedded section of human cervical cancer tissue. Heat mediated antigen retrieval was performed in EDTA buffer (pH8.0, epitope retrieval solution). The tissue section was blocked with 10% goat serum. The tissue section was then incubated with 2 µg/ml rabbit anti-Apelin/APLN Antibody overnight at 4°C. Peroxidase Conjugated Goat Anti-rabbit IgG was used as secondary antibody and incubated for 30 minutes at 37°C. The tissue section was developed using HRP Conjugated Rabbit IgG Super Vision Assay Kit with DAB as the chromogen.

IHC analysis of Apelin/APLN using anti-Apelin/APLN antibody. Apelin/APLN was detected in a paraffin-embedded section of human liver cancer tissue. Heat mediated antigen retrieval was performed in EDTA buffer (pH8.0, epitope retrieval solution). The tissue section was blocked with 10% goat serum. The tissue section was then incubated with 2 µg/ml rabbit anti-Apelin/APLN Antibody overnight at 4°C. Peroxidase Conjugated Goat Anti-rabbit IgG was used as secondary antibody and incubated for 30 minutes at 37°C. The tissue section was developed using HRP Conjugated Rabbit IgG Super Vision Assay Kit with DAB as the chromogen.

IHC analysis of Apelin/APLN using anti-Apelin/APLN antibody. Apelin/APLN was detected in a paraffin-embedded section of human lung cancer tissue. Heat mediated antigen retrieval was performed in EDTA buffer (pH8.0, epitope retrieval solution). The tissue section was blocked with 10% goat serum. The tissue section was then incubated with 2 µg/ml rabbit anti-Apelin/APLN Antibody overnight at 4°C. Peroxidase Conjugated Goat Anti-rabbit IgG was used as secondary antibody and incubated for 30 minutes at 37°C. The tissue section was developed using HRP Conjugated Rabbit IgG Super Vision Assay Kit with DAB as the chromogen.
Quick Database Links
UniProt Details
−Documents Download
Request a Document
Protocol Information
Apelin/APLN Rabbit Polyclonal Antibody (orb1145838)
Participating in our Biorbyt product reviews program enables you to support fellow scientists by sharing your firsthand experience with our products.
Login to Submit a Review
