You have no items in your shopping cart.
You have no items in your shopping cart.
| Catalog Number | orb1254851 |
|---|---|
| Category | Antibodies |
| Description | ZNF264 Antibody |
| Target | ZNF264 |
| Clonality | Polyclonal |
| Isotype | IgG |
| Conjugation | Unconjugated |
| Reactivity | Human, Mouse, Rat |
| Form/Appearance | Liquid |
| Concentration | batch dependent |
| Buffer/Preservatives | Liquid |
| Purification | Affinity purification |
| Immunogen | Recombinant fusion protein containing a sequence corresponding to amino acids 1-220 of human ZNF264 (NP_003408.1). |
| UniProt ID | O43296 |
| MW | Observed: 71kDa |
| Tested applications | IF, IHC, WB |
| Application notes | WB: 1:500 - 1:2000IHC: 1:50 - 1:200IF: 1:50 - 1:200 |
| Antibody Type | Primary Antibody |
| Storage | Maintain refrigerated at 2-8°C for up to 2 weeks. For long term storage store at -20°C in small aliquots to prevent freeze-thaw cycles. |
| Alternative names | ZNF264, KIAA0412 |
| Research Area | Epigenetics & Chromatin |
| Note | For research use only |

Western blot analysis of extracts of various cell lines, using ZNF264 antibody (orb1254851) at 1:1000 dilution. Secondary antibody: HRP Goat Anti-Rabbit IgG (H+L) at 1:10000 dilution. Lysates/proteins: 25 ug per lane. Blocking buffer: 3% nonfat dry milk in TBST. Detection: ECL Basic Kit. Exposure time: 90s.

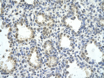
Immunohistochemistry of paraffin-embedded human kidney using ZNF264 antibody (orb1254851) at dilution of 1:100 (40x lens).

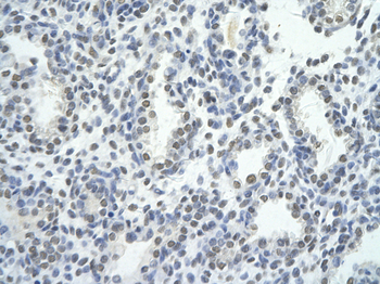
Immunohistochemistry of paraffin-embedded human gastric using ZNF264 antibody (orb1254851) at dilution of 1:100 (40x lens).

Immunofluorescence analysis of NIH-3T3 cells using ZNF264 antibody (orb1254851) at dilution of 1:100. Blue: DAPI for nuclear staining.

Immunofluorescence analysis of U-2 OS cells using ZNF264 antibody (orb1254851) at dilution of 1:100. Blue: DAPI for nuclear staining.
IHC, WB | |
Bovine, Canine, Equine, Mouse, Porcine, Rat | |
Human | |
Rabbit | |
Polyclonal | |
Unconjugated |
IHC, WB | |
Bovine, Canine, Equine, Rabbit, Rat | |
Human | |
Rabbit | |
Polyclonal | |
Unconjugated |
Participating in our Biorbyt product reviews program enables you to support fellow scientists by sharing your firsthand experience with our products.
Login to Submit a Review