You have no items in your shopping cart.
You have no items in your shopping cart.
| Catalog Number | orb1246974 |
|---|---|
| Category | Antibodies |
| Description | SEMA3E Antibody |
| Target | SEMA3E |
| Clonality | Polyclonal |
| Conjugation | Unconjugated |
| Reactivity | Human |
| Form/Appearance | Liquid |
| Concentration | 500 ug/mL |
| Buffer/Preservatives | Supplied at 0.5 mg/ml in Tris saline, 0.02% sodium azide, pH 7.3 with 0.5% bovine serum albumin. Aliquot and store at -20°C. Minimize freezing and thawing. |
| Purification | Purified from goat serum by ammonium sulphate precipitation followed by antigen affinity chromatography using the immunizing peptide. |
| Immunogen | The immunogen for this antibody is: C-KPEHYRLPRHTLDS |
| UniProt ID | O15041 |
| Tested applications | ELISA, IHC |
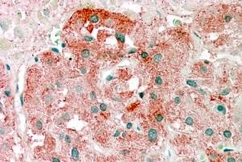
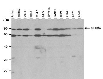
| Application notes | Peptide ELISA: antibody detection limit dilution 1:64000.Western Blot:Preliminary experiments gave bands at approx 35kDa and 20kDa in Human Prostate lysates after 0.1ug/ml antibody staining. Please note that currently we cannot find an explanation in the literature for the bands we observe given the calculated size of 89.2kDa according to NP_036563.1. Both detected bands were successfully blocked by incubation with the immunizing peptide (and BLAST results with the immunizing peptide sequence did not identify any other proteins to explain the additional bands). We would appreciate any feedback from people in the field - have any results been reported with other antibodies/lysates? Have any further splice variants/modified forms been reported?Immunohistochemistry:In paraffin embedded Human Adrenal Medulla shows granular cytoplasmic staining increasing towards the zona reticularis. Recommended concentration, 2-4ug/ml. |
| Antibody Type | Primary Antibody |
| Storage | Maintain refrigerated at 2-8°C for up to 2 weeks. For long term storage store at -20°C in small aliquots to prevent freeze-thaw cycles. |
| Alternative names | SEMA3E, SEMAH, coll-5, M-SEMAH, M-SemaK, KIAA0331, Read more... |
| Research Area | Cancer Biology |
| Note | For research use only |
| NCBI | NP_036563.1 |

orb1246974 (2.5 ug/ml) staining of paraffin embedded Human Adrenal Gland. Steamed antigen retrieval with citrate buffer pH 6, AP-staining.
WB | |
Bovine, Equine, Porcine, Rabbit, Rat, Sheep | |
Human, Mouse | |
Rabbit | |
Polyclonal | |
Unconjugated |
WB | |
Bovine, Canine, Equine, Guinea pig, Mouse, Porcine, Rat | |
Human | |
Rabbit | |
Polyclonal | |
Unconjugated |
Participating in our Biorbyt product reviews program enables you to support fellow scientists by sharing your firsthand experience with our products.
Login to Submit a Review