You have no items in your shopping cart.
You have no items in your shopping cart.
| Catalog Number | orb1260479 |
|---|---|
| Category | Antibodies |
| Description | KLKB1 Antibody |
| Target | KLKB1 |
| Clonality | Polyclonal |
| Isotype | IgG |
| Conjugation | Unconjugated |
| Reactivity | Human, Mouse, Rat |
| Form/Appearance | Liquid |
| Concentration | batch dependent |
| Buffer/Preservatives | Liquid |
| Purification | Affinity purification |
| Immunogen | Recombinant fusion protein containing a sequence corresponding to amino acids 20-300 of human KLKB1 (NP_000883.2). |
| UniProt ID | P03952 |
| Tested applications | IF, IHC, WB |
| Application notes | WB: 1:500 - 1:2000IHC: 1:50 - 1:200IF: 1:50 - 1:200 |
| Antibody Type | Primary Antibody |
| Storage | Maintain refrigerated at 2-8°C for up to 2 weeks. For long term storage store at -20°C in small aliquots to prevent freeze-thaw cycles. |
| Alternative names | KLKB1, KLK3, PPK |
| Research Area | Cell Biology |
| Note | For research use only |

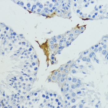
Immunohistochemistry of paraffin-embedded mouse testis using KLKB1 antibody (orb1260479) at dilution of 1:200 (40x lens).

Immunohistochemistry of paraffin-embedded mouse lung using KLKB1 antibody (orb1260479) at dilution of 1:200 (40x lens).

Immunofluorescence analysis of HeLa cells using KLKB1 antibody (orb1260479). Blue: DAPI for nuclear staining.
ELISA, IHC-P, WB | |
Human, Mouse, Porcine, Rat | |
Rabbit | |
Polyclonal | |
Unconjugated |
Human | |
1.57-100 ng/mL | |
0.6 ng/mL |
ELISA, IHC-P, WB | |
Human, Mouse, Rat | |
Polyclonal | |
Unconjugated |
Participating in our Biorbyt product reviews program enables you to support fellow scientists by sharing your firsthand experience with our products.
Login to Submit a Review