You have no items in your shopping cart.
Description
Research Area
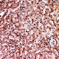
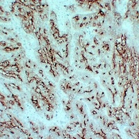
Images & Validation
−
Key Properties
−| Protein Sequence | Tyr-Leu-Ser-Gly-Ala-Asp-Leu-Asn-Leu |
|---|---|
| Purity | > 95% |
Storage & Handling
−| Storage | Keep in cool and dry place |
|---|---|
| Form/Appearance | White lyophilized powder |
| Expiration Date | 12 months from date of receipt. |
| Disclaimer | For research use only |
Similar Products
−Cecropin A [orb1147115]
> 95% by HPLC
4003.8 Da
H-Lys-Trp-Lys-Leu-Phe-Lys-Lys-Ile-Glu-Lys-Val-Gly-Gln-Asn-Ile-Arg-Asp-Gly-Ile-Ile-Lys-Ala-Gly-Pro-Ala-Val-Ala-Val-Val-Gly-Gln-Ala-Thr-Gln-Ile-Ala-Lys-NH2
1 mgCD66a/e Rabbit Polyclonal Antibody [orb213603]
IHC, WB
Human
Rabbit
Polyclonal
Unconjugated
30 μl, 100 μl, 200 μl, 50 μlCD66e Mouse Monoclonal Antibody [orb705372]
IHC
Human
Mouse
Monoclonal
Unconjugated
200 μl, 30 μl, 100 μl, 50 μl

Quality Guarantee
Explore bioreagents carefree to elevate your research. All our products are rigorously tested for performance. If a product does not perform as described on its datasheet, our scientific support team will provide expert troubleshooting, a prompt replacement, or a refund. For full details, please see our Terms & Conditions and Buying Guide. Contact us at [email protected].
Documents Download
Request a Document
Protocol Information
CEA peptide (orb70558)
Participating in our Biorbyt product reviews program enables you to support fellow scientists by sharing your firsthand experience with our products.
Login to Submit a Review







