You have no items in your shopping cart.
You have no items in your shopping cart.
| Catalog Number | orb1261352 |
|---|---|
| Category | Antibodies |
| Description | ZP1 Antibody |
| Target | ZP1 |
| Clonality | Polyclonal |
| Isotype | IgG |
| Conjugation | Unconjugated |
| Reactivity | Human, Mouse, Rat |
| Form/Appearance | Liquid |
| Concentration | batch dependent |
| Buffer/Preservatives | Liquid |
| Purification | Affinity purification |
| Immunogen | Recombinant fusion protein containing a sequence corresponding to amino acids 340-610 of human ZP1 (NP_997224.2). |
| UniProt ID | P60852 |
| MW | Observed: 70kDa |
| Tested applications | IF, WB |
| Application notes | WB: 1:500 - 1:2000IF: 1:50 - 1:100 |
| Antibody Type | Primary Antibody |
| Storage | Maintain refrigerated at 2-8°C for up to 2 weeks. For long term storage store at -20°C in small aliquots to prevent freeze-thaw cycles. |
| Alternative names | Zona pellucida sperm-binding protein 1, Zona pellu Read more... |
| Note | For research use only |

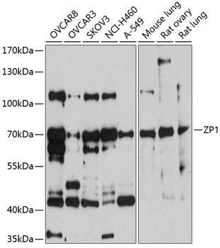
Western blot analysis of extracts of various cell lines, using ZP1 antibody at 1:1000 dilution.
WB | |
Mouse, Rabbit, Rat | |
Human | |
Rabbit | |
Polyclonal | |
Unconjugated |
WB | |
Equine, Human, Rat | |
Mouse | |
Rabbit | |
Polyclonal | |
Unconjugated |
IHC, WB | |
Human, Mouse, Rat | |
Rabbit | |
Polyclonal | |
Unconjugated |
Participating in our Biorbyt product reviews program enables you to support fellow scientists by sharing your firsthand experience with our products.
Login to Submit a Review