You have no items in your shopping cart.
You have no items in your shopping cart.
| Catalog Number | orb1248806 |
|---|---|
| Category | Antibodies |
| Description | ZNF652 Antibody |
| Target | ZNF652 |
| Clonality | Polyclonal |
| Conjugation | Unconjugated |
| Reactivity | Human |
| Predicted Reactivity | Bovine, Porcine |
| Form/Appearance | Liquid |
| Concentration | 500 ug/mL |
| Buffer/Preservatives | Supplied at 0.5 mg/ml in Tris saline, 0.02% sodium azide, pH 7.3 with 0.5% bovine serum albumin. Aliquot and store at -20°C. Minimize freezing and thawing. |
| Purification | Purified from goat serum by ammonium sulphate precipitation followed by antigen affinity chromatography using the immunizing peptide. |
| Immunogen | The immunogen for this antibody is: C-RHLAEKNSSAQHH |
| UniProt ID | Q9Y2D9 |
| MW | Approx 90 kDa |
| Tested applications | ELISA, IHC, WB |
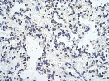
| Application notes | Peptide ELISA: antibody detection limit dilution 1:64000.Western Blot:Approx 90kDa band observed in Human Heart, Kidney and Liver lysates (calculated MW of 69.7kDa according to NP_055712.1). The observed molecular weight corresponds to earlier findings in literature with different antibodies (Kumar et al, Mol Cancer Res. 2006 Sep;4(9):655-65.PMID: 1696643). Recommended concentration: 0.01-0.03ug/ml. Primary incubation was 1 hour.Immunohistochemistry:Paraffin embedded Human Small Intestine. Recommended concentration: 5ug/ml. |
| Antibody Type | Primary Antibody |
| Storage | Maintain refrigerated at 2-8°C for up to 2 weeks. For long term storage store at -20°C in small aliquots to prevent freeze-thaw cycles. |
| Alternative names | ZNF652, zinc finger protein 652, DKFZp781E2122, KI Read more... |
| Note | For research use only |
| NCBI | NP_055712.1 |

orb1248806 (0.01 ug/ml) staining of Human Heart lysate (35 ug protein in RIPA buffer). Detected by chemiluminescence.

orb1248806 (5 ug/ml) staining of paraffin embedded Human Small Intestine. Steamed antigen retrieval with citrate buffer pH 6, AP-staining.
IHC, WB | |
Bovine, Canine, Equine, Goat, Mouse, Porcine, Rabbit, Rat, Yeast | |
Human | |
Rabbit | |
Polyclonal | |
Unconjugated |
ELISA, IHC, WB | |
Bovine, Porcine | |
Human | |
Goat | |
Polyclonal | |
Unconjugated |
ICC, IF | |
Bovine, Canine, Equine, Human, Mouse, Porcine, Rabbit, Rat, Sheep | |
Rabbit | |
Polyclonal | |
Cy5.5 |
ICC, IF | |
Bovine, Canine, Equine, Human, Mouse, Porcine, Rabbit, Rat, Sheep | |
Rabbit | |
Polyclonal | |
RBITC |
Participating in our Biorbyt product reviews program enables you to support fellow scientists by sharing your firsthand experience with our products.
Login to Submit a Review