You have no items in your shopping cart.
You have no items in your shopping cart.
| Catalog Number | orb1238560 |
|---|---|
| Category | Antibodies |
| Description | ZBTB8 Antibody |
| Target | ZBTB8A |
| Clonality | Polyclonal |
| Isotype | IgG |
| Conjugation | Unconjugated |
| Reactivity | Human, Mouse |
| Predicted Reactivity | Bovine, Rat |
| Form/Appearance | Liquid |
| Concentration | 1 mg/mL |
| Buffer/Preservatives | ZBTB8 Antibody is supplied in PBS containing 0.02% sodium azide. |
| Purification | ZBTB8 Antibody is affinity chromatography purified via peptide column. |
| Immunogen | ZBTB8 antibody was raised against a 17 amino acid synthetic peptide near the carboxy terminus of human ZBTB8.The immunogen is located within the last 50 amino acids of ZBTB8. |
| UniProt ID | Q96BR9 |
| Tested applications | ELISA, IF, IHC-P, WB |
| Application notes | ZBTB8 antibody can be used for detection of ZBTB8 by Western blot at 1 μg/mL. Antibody can also be used for immunohistochemistry starting at 2.5 μg/mL. For immunofluorescence start at 5 μg/mL.Antibody validated: Western Blot in mouse samples; Immunohistochemistry in human samples and Immunofluorescence in human samples. All other applications and species not yet tested. |
| Antibody Type | Primary Antibody |
| Storage | Maintain refrigerated at 2-8°C for up to 2 weeks. For long term storage store at -20°C in small aliquots to prevent freeze-thaw cycles. |
| Alternative names | ZBTB8 Antibody: BOZF1, ZBTB8, ZNF916A, BOZF1, Zinc Read more... |
| Research Area | Cancer Biology, Cell Biology |
| Note | For research use only |
| NCBI | CAI20024 |

Western blot analysis of ZBTB8 in mouse spleen tissue lysate with ZBTB8 antibody at 1 µg/mL.

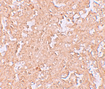
Immunohistochemistry of ZBTB8 in human spleen tissue with ZBTB9 antibody at 2.5 µg/mL.

Immunofluorescence ofZBTB8 in human spleen tissue with ZBTB8 antibody at 20 µg/mL.
WB | |
Canine, Equine, Guinea pig, Mouse, Rabbit, Rat | |
Human | |
Rabbit | |
Polyclonal | |
Unconjugated |
Participating in our Biorbyt product reviews program enables you to support fellow scientists by sharing your firsthand experience with our products.
Login to Submit a Review