You have no items in your shopping cart.
You have no items in your shopping cart.
| Catalog Number | orb1241273 |
|---|---|
| Category | Antibodies |
| Description | TSPAN15 Antibody |
| Target | TSPAN15 |
| Clonality | Polyclonal |
| Conjugation | Unconjugated |
| Reactivity | Human, Mouse, Rat |
| Form/Appearance | Liquid |
| Concentration | batch dependent |
| Buffer/Preservatives | Purified antibody supplied in 1x PBS buffer with 0.09% (w/v) sodium azide and 2% sucrose. |
| Purification | Antibody is purified by peptide affinity chromatography method. |
| Immunogen | Antibody produced in rabbits immunized with a synthetic peptide corresponding a region of human TSPAN15. |
| UniProt ID | O95858 |
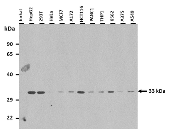
| MW | 33 kDa |
| Tested applications | ELISA, WB |
| Application notes | TSPAN15 antibody can be used for detection of TSPAN15 by ELISA at 1:312500. TSPAN15 antibody can be used for detection of TSPAN15 by western blot at 1.0 μg/mL, and HRP conjugated secondary antibody should be diluted 1:50,000 - 100,000. |
| Antibody Type | Primary Antibody |
| Storage | Maintain refrigerated at 2-8°C for up to 2 weeks. For long term storage store at -20°C in small aliquots to prevent freeze-thaw cycles. |
| Alternative names | TSPAN15, 2700063A19Rik, NET-7, TM4SF15, NET7 |
| Research Area | Signal Transduction |
| Note | For research use only |
| NCBI | NP_036471 |

Antibody used in WB on Human HepG2 at 0.2-1 ug/ml.
WB | |
Bovine, Canine, Equine, Guinea pig, Mouse, Rabbit, Rat | |
Human | |
Rabbit | |
Polyclonal | |
Unconjugated |
ELISA | |
Mouse, Rat | |
Human | |
Rabbit | |
Polyclonal | |
Unconjugated |
ELISA, IHC, WB | |
Human | |
Rabbit | |
Polyclonal | |
Unconjugated |
Participating in our Biorbyt product reviews program enables you to support fellow scientists by sharing your firsthand experience with our products.
Login to Submit a Review