You have no items in your shopping cart.
You have no items in your shopping cart.
| Catalog Number | orb1256150 |
|---|---|
| Category | Antibodies |
| Description | TSEN2 Antibody |
| Target | TSEN2 |
| Clonality | Polyclonal |
| Isotype | IgG |
| Conjugation | Unconjugated |
| Reactivity | Human, Mouse, Rat |
| Form/Appearance | Liquid |
| Concentration | batch dependent |
| Buffer/Preservatives | Liquid |
| Purification | Affinity purification |
| Immunogen | Recombinant fusion protein containing a sequence corresponding to amino acids 1-220 of human TSEN2 (NP_079541.1). |
| UniProt ID | Q8NCE0 |
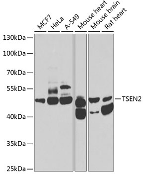
| MW | Observed: 53kDa |
| Tested applications | IF, IHC, WB |
| Application notes | WB: 1:500 - 1:2000IHC: 1:50 - 1:100IF: 1:50 - 1:100 |
| Antibody Type | Primary Antibody |
| Storage | Maintain refrigerated at 2-8°C for up to 2 weeks. For long term storage store at -20°C in small aliquots to prevent freeze-thaw cycles. |
| Alternative names | tRNA-splicing endonuclease subunit Sen2, tRNA-intr Read more... |
| Research Area | Cell Biology |
| Note | For research use only |

Western blot analysis of extracts of various cell lines, using TSEN2 antibody (orb1256150) at 1:1000 dilution. Secondary antibody: HRP Goat Anti-Rabbit IgG (H+L) at 1:10000 dilution. Lysates/proteins: 25 ug per lane. Blocking buffer: 3% nonfat dry milk in TBST. Detection: ECL Basic Kit. Exposure time: 90s.
WB | |
Bovine, Canine, Equine, Guinea pig, Porcine, Rabbit | |
Human | |
Rabbit | |
Polyclonal | |
Unconjugated |
WB | |
Bovine, Canine, Equine, Human, Rat, Sheep | |
Mouse | |
Rabbit | |
Polyclonal | |
Unconjugated |
WB | |
Bovine, Canine, Equine, Human, Rat, Sheep | |
Mouse | |
Rabbit | |
Polyclonal | |
Biotin |
Participating in our Biorbyt product reviews program enables you to support fellow scientists by sharing your firsthand experience with our products.
Login to Submit a Review