You have no items in your shopping cart.
You have no items in your shopping cart.
| Catalog Number | orb1260359 |
|---|---|
| Category | Antibodies |
| Description | TNFRSF1B Antibody |
| Target | TNFRSF1B |
| Clonality | Polyclonal |
| Isotype | IgG |
| Conjugation | Unconjugated |
| Reactivity | Human, Mouse, Rat |
| Form/Appearance | Liquid |
| Concentration | batch dependent |
| Buffer/Preservatives | Liquid |
| Purification | Affinity purification |
| Immunogen | Recombinant fusion protein containing a sequence corresponding to amino acids 30-250 of human TNFRSF1B (NP_001057.1). |
| UniProt ID | P20333 |
| MW | Observed: 60kDa |
| Tested applications | IHC, WB |
| Application notes | WB: 1:500 - 1:2000IHC: 1:50 - 1:200 |
| Antibody Type | Primary Antibody |
| Storage | Maintain refrigerated at 2-8°C for up to 2 weeks. For long term storage store at -20°C in small aliquots to prevent freeze-thaw cycles. |
| Alternative names | p75, TBPII, TNFBR, TNFR2, CD120b, TNFR1B, TNFR80, Read more... |
| Research Area | Cancer Biology, Cell Biology, Immunology & Inflamm Read more... |
| Note | For research use only |

Western blot analysis of extracts of mouse liver, using TNFRSF1B antibody (orb1260359) at 1:1000 dilution. Secondary antibody: HRP Goat Anti-Rabbit IgG (H+L) at 1:10000 dilution. Lysates/proteins: 25 ug per lane. Blocking buffer: 3% nonfat dry milk in TBST.

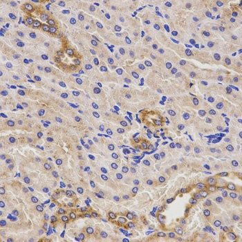
Immunohistochemistry of paraffin-embedded rat kidney using TNFRSF1B antibody (orb1260359) at dilution of 1:200 (40x lens).

Immunohistochemistry of paraffin-embedded human lung cancer using TNFRSF1B antibody (orb1260359) at dilution of 1:200 (40x lens).

Immunohistochemistry of paraffin-embedded human rectal cancer using TNFRSF1B antibody (orb1260359) at dilution of 1:200 (40x lens).
IF, IHC-Fr, IHC-P | |
Mouse, Rat | |
Human | |
Rabbit | |
Recombinant | |
Unconjugated |
Rat | |
0.16-10 ng/mL | |
0.056 ng/mL |
Human | |
0.16-10 ng/mL | |
0.061 ng/mL |
ELISA, IF, IHC-P, WB | |
Human, Mouse, Rat | |
Polyclonal | |
Unconjugated |
ELISA, FC, IF, IHC, IP, WB | |
Human, Mouse, Rat | |
Rabbit | |
Polyclonal | |
Unconjugated |
Participating in our Biorbyt product reviews program enables you to support fellow scientists by sharing your firsthand experience with our products.
Login to Submit a Review