You have no items in your shopping cart.
TMPRSS6 Rabbit Polyclonal Antibody
Description
Research Area
Images & Validation
−| Tested Applications | IHC, WB |
|---|---|
| Reactivity | Human |
| Predicted Reactivity | Bovine, Canine, Equine, Guinea pig, Mouse, Porcine, Rat |
Key Properties
−| Host | Rabbit |
|---|---|
| Clonality | Polyclonal |
| Immunogen | The immunogen is a synthetic peptide directed towards the N terminal region of human TMPRSS6 |
| Target | TMPRSS6 |
| Protein Sequence | Synthetic peptide located within the following region: LLWYFLGYKAEVMVSQVYSGSLRVLNRHFSQDLTRRESSAFRSETAKAQK |
| Molecular Weight | 90 kDa |
| Purification | Affinity Purified |
| Conjugation | Unconjugated |
Storage & Handling
−| Storage | Maintain refrigerated at 2-8°C for up to 2 weeks. For long term storage store at -20°C in small aliquots to prevent freeze-thaw cycles. |
|---|---|
| Buffer/Preservatives | Liquid. Purified antibody supplied in 1x PBS buffer with 0.09% (w/v) sodium azide and 2% sucrose. |
| Concentration | 0.5 mg/ml |
| Expiration Date | 12 months from date of receipt. |
| Disclaimer | For research use only |
Alternative Names
−Similar Products
−
Quality Guarantee
Explore bioreagents carefree to elevate your research. All our products are rigorously tested for performance. If a product does not perform as described on its datasheet, our scientific support team will provide expert troubleshooting, a prompt replacement, or a refund. For full details, please see our Terms & Conditions and Buying Guide. Contact us at [email protected].

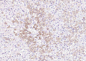
Anti-TMPRSS6 antibody IHC of human liver. Immunohistochemistry of formalin-fixed, paraffin-embedded tissue after heat-induced antigen retrieval. TMPRSS6 Antibody concentration 5 ug/ml.

Positive control (+): HepG2 (HG), Negative control (-): MCF7 (N10), Antibody concentration: 1.5 ug/ml.

WB Suggested Anti-TMPRSS6 Antibody Titration: 0.2-1 ug/ml, ELISA Titer: 1:312500, Positive Control: Jurkat cell lysate.
Documents Download
Request a Document
Protocol Information
TMPRSS6 Rabbit Polyclonal Antibody (orb581983)
Participating in our Biorbyt product reviews program enables you to support fellow scientists by sharing your firsthand experience with our products.
Login to Submit a Review


