You have no items in your shopping cart.
You have no items in your shopping cart.
| Catalog Number | orb1256784 |
|---|---|
| Category | Antibodies |
| Description | TMOD4 Antibody |
| Target | TMOD4 |
| Clonality | Polyclonal |
| Isotype | IgG |
| Conjugation | Unconjugated |
| Reactivity | Human, Mouse, Rat |
| Form/Appearance | Liquid |
| Concentration | batch dependent |
| Buffer/Preservatives | Liquid |
| Purification | Affinity purification |
| Immunogen | Recombinant fusion protein containing a sequence corresponding to amino acids 1-345 of human TMOD4 (NP_037485.2). |
| UniProt ID | Q9NZQ9 |
| MW | Observed: 39kDa |
| Tested applications | IF, IHC, WB |
| Application notes | WB: 1:500 - 1:2000IHC: 1:50 - 1:200IF: 1:10 - 1:100 |
| Antibody Type | Primary Antibody |
| Storage | Maintain refrigerated at 2-8°C for up to 2 weeks. For long term storage store at -20°C in small aliquots to prevent freeze-thaw cycles. |
| Alternative names | Tropomodulin-4, Skeletal muscle tropomodulin, Sk-T Read more... |
| Research Area | Cell Biology, Signal Transduction |
| Note | For research use only |

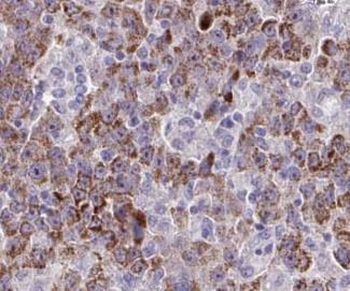
Immunohistochemistry of paraffin-embedded human liver cancer using TMOD4 antibody (orb1256784) at dilution of 1:100 (40x lens).
ELISA, IF, IHC, WB | |
Human, Mouse, Rat | |
Rabbit | |
Polyclonal | |
Unconjugated |
WB | |
Bovine, Canine, Equine, Guinea pig, Mouse, Porcine, Rabbit, Rat | |
Human | |
Rabbit | |
Polyclonal | |
Unconjugated |
WB | |
Bovine, Canine, Equine, Guinea pig, Mouse, Rabbit, Rat, Zebrafish | |
Human | |
Rabbit | |
Polyclonal | |
Unconjugated |
Participating in our Biorbyt product reviews program enables you to support fellow scientists by sharing your firsthand experience with our products.
Login to Submit a Review