You have no items in your shopping cart.
NDC1 Antibody
Description
Research Area
Images & Validation
−| Tested Applications | ELISA, WB |
|---|---|
| Reactivity | Human, Mouse, Rat |
| Application Notes |
Key Properties
−| Antibody Type | Primary Antibody |
|---|---|
| Host | Rabbit |
| Clonality | Polyclonal |
| Immunogen | Antibody produced in rabbits immunized with a synthetic peptide corresponding a region of human TMEM48. |
| Target | NDC1 |
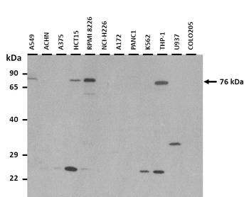
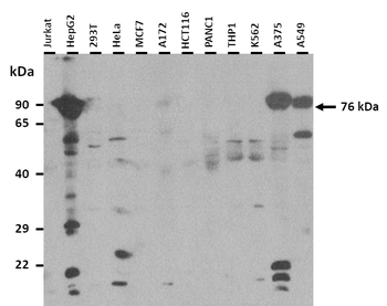
| Molecular Weight | 76 kDa |
| Purification | Antibody is purified by peptide affinity chromatography method. |
| Conjugation | Unconjugated |
Storage & Handling
−| Storage | Maintain refrigerated at 2-8°C for up to 2 weeks. For long term storage store at -20°C in small aliquots to prevent freeze-thaw cycles. |
|---|---|
| Form/Appearance | Liquid |
| Buffer/Preservatives | Purified antibody supplied in 1x PBS buffer with 0.09% (w/v) sodium azide and 2% sucrose. |
| Concentration | batch dependent |
| Expiration Date | 12 months from date of receipt. |
| Disclaimer | For research use only |
Alternative Names
−Similar Products
−Human Transmembrane Protein 48 (TMEM48) ELISA Kit [orb782607]
Human
31.25-2000 pg/mL
11.9 pg/mL
48 T, 96 TTMEM48 Rabbit Polyclonal Antibody [orb325264]
WB
Bovine, Canine, Equine, Guinea pig, Mouse, Rabbit, Rat, Zebrafish
Human
Rabbit
Polyclonal
Unconjugated
100 μlTMEM48 Rabbit Polyclonal Antibody [orb325263]
WB
Bovine, Canine, Equine, Guinea pig, Mouse, Porcine, Rabbit, Rat, Zebrafish
Human
Rabbit
Polyclonal
Unconjugated
100 μl

Quality Guarantee
Explore bioreagents carefree to elevate your research. All our products are rigorously tested for performance. If a product does not perform as described on its datasheet, our scientific support team will provide expert troubleshooting, a prompt replacement, or a refund. For full details, please see our Terms & Conditions and Buying Guide. Contact us at [email protected].

Antibody used in WB on Human Lung at 0.2-1 ug/ml.
Documents Download
Request a Document
Protocol Information
NDC1 Antibody (orb1245285)
Participating in our Biorbyt product reviews program enables you to support fellow scientists by sharing your firsthand experience with our products.
Login to Submit a Review






