You have no items in your shopping cart.
You have no items in your shopping cart.
| Catalog Number | orb313282 |
|---|---|
| Category | Antibodies |
| Description | TMEM109 Rabbit Polyclonal Antibody |
| Target | TMEM109 |
| Clonality | Polyclonal |
| Species/Host | Rabbit |
| Isotype | IgG |
| Conjugation | Unconjugated |
| Reactivity | Human, Mouse |
| Predicted Reactivity | Bovine, Canine, Equine, Porcine, Rabbit, Rat |
| Form/Appearance | Liquid |
| Concentration | 1mg/ml |
| Buffer/Preservatives | 0.01M TBS (pH7.4) with 1% rAlbumin, 0.02% Proclin300 and 50% Glycerol. |
| Purification | Affinity purified by Protein A |
| Immunogen | KLH conjugated synthetic peptide derived from human TMEM109 (151-243/243aa) |
| UniProt ID | Q9BVC6 |
| MW | 23 kDa |
| Tested applications | IF, IHC-Fr, IHC-P, WB |
| Dilution range | WB=1:500-2000, IHC-P=1:100-500, IHC-F=1:100-500, IF=1:100-500 |
| Antibody Type | Primary Antibody |
| Storage | Maintain refrigerated at 2-8°C for up to 2 weeks. For long term storage store at -20°C in small aliquots to prevent freeze-thaw cycles. |
| Alternative names | Mg23; Mitsugumin-23; TM109_HUMAN; TMEM109; Transme Read more... |
| Note | For research use only |

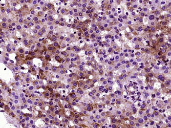
Paraformaldehyde-fixed, paraffin embedded (human liver tissue), Antigen retrieval by boiling in sodium citrate buffer (pH6.0) for 15 min, Block endogenous peroxidase by 3% hydrogen peroxide for 20 minutes, Blocking buffer (normal goat serum) at 37°C for 30 min, Antibody incubation with (TMEM109) Polyclonal Antibody, Unconjugated (orb313282) at 1:400 overnight at 4°C, followed by operating according to SP Kit (Rabbit) instructionsand DAB staining.

Paraformaldehyde-fixed, paraffin embedded (mouse brain tissue), Antigen retrieval by boiling in sodium citrate buffer (pH6.0) for 15 min, Block endogenous peroxidase by 3% hydrogen peroxide for 20 minutes, Blocking buffer (normal goat serum) at 37°C for 30 min, Antibody incubation with (TMEM109) Polyclonal Antibody, Unconjugated (orb313282) at 1:400 overnight at 4°C, followed by operating according to SP Kit (Rabbit) instructionsand DAB staining.

Sample: U251 (Human) Cell Lysate at 40 ug, Panc-1 (Human) Cell Lysate at 40 ug, Primary: Anti-TMEM109 at 1/300 dilution, Secondary: IRDye800CW Goat Anti-Rabbit IgG at 1/20000 dilution, Predicted band size: 23 kD, Observed band size: 23 kD.
WB | |
Bovine, Canine, Equine, Guinea pig, Porcine, Rabbit, Rat | |
Human | |
Rabbit | |
Polyclonal | |
Unconjugated |
IF | |
Bovine, Canine, Equine, Porcine, Rabbit, Rat | |
Human, Mouse | |
Rabbit | |
Polyclonal | |
FITC |
IF | |
Bovine, Canine, Equine, Porcine, Rabbit, Rat | |
Human, Mouse | |
Rabbit | |
Polyclonal | |
Cy7 |
IF | |
Bovine, Canine, Equine, Porcine, Rabbit, Rat | |
Human, Mouse | |
Rabbit | |
Polyclonal | |
RBITC |
IF | |
Bovine, Canine, Equine, Porcine, Rabbit, Rat | |
Human, Mouse | |
Rabbit | |
Polyclonal | |
Cy5.5 |
Participating in our Biorbyt product reviews program enables you to support fellow scientists by sharing your firsthand experience with our products.
Login to Submit a Review