You have no items in your shopping cart.
IL27RA Antibody
Description
Research Area
Images & Validation
−| Tested Applications | ELISA, IF, IHC-P, WB |
|---|---|
| Reactivity | Human |
| Predicted Reactivity | Mouse |
| Application Notes |
Key Properties
−| Antibody Type | Primary Antibody |
|---|---|
| Host | Rabbit |
| Clonality | Polyclonal |
| Isotype | IgG |
| Immunogen | TCCR antibody was raised against a synthetic peptide corresponding to amino acids near the carboxy terminus of human TCCR precursor.The sequence is identical to that of mouse TCCR.The immunogen is located within the last 50 amino acids of TCCR. |
| Target | IL27RA |
| Molecular Weight | 70 kDa |
| Purification | TCCR Antibody is affinity chromatography purified via peptide column. |
| Conjugation | Unconjugated |
Storage & Handling
−| Storage | Maintain refrigerated at 2-8°C for up to 2 weeks. For long term storage store at -20°C in small aliquots to prevent freeze-thaw cycles. |
|---|---|
| Form/Appearance | Liquid |
| Buffer/Preservatives | TCCR Antibody is supplied in PBS containing 0.02% sodium azide. |
| Concentration | 1 mg/ml |
| Expiration Date | 12 months from date of receipt. |
| Disclaimer | For research use only |
Alternative Names
−Similar Products
−IL27RA Antibody [orb1238839]
ELISA, IF, IHC-P, WB
Mouse
Human
Rabbit
Polyclonal
Unconjugated
0.1 mg, 0.02 mg

Quality Guarantee
Explore bioreagents carefree to elevate your research. All our products are rigorously tested for performance. If a product does not perform as described on its datasheet, our scientific support team will provide expert troubleshooting, a prompt replacement, or a refund. For full details, please see our Terms & Conditions and Buying Guide. Contact us at [email protected].

Western blot analysis of TCCR expression in human spleen tissue lysate with TCCR antibody at 1 µg/ml.

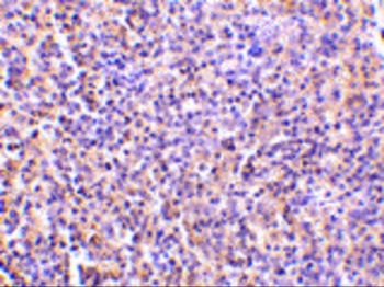
Immunohistochemistry of TCCR in human spleen tissue with TCCR antibody at 5 µg/mL.

Immunofluorescence of TCCR in Human Spleen cells with TCCR antibody at 20 µg/mL.
Documents Download
Request a Document
Protocol Information
IL27RA Antibody (orb1238838)
Participating in our Biorbyt product reviews program enables you to support fellow scientists by sharing your firsthand experience with our products.
Login to Submit a Review










