You have no items in your shopping cart.
TAF15 Rabbit Polyclonal Antibody
Description
Research Area
Images & Validation
−| Tested Applications | IHC, WB |
|---|---|
| Reactivity | Human |
| Predicted Reactivity | Bovine, Canine, Guinea pig, Mouse, Rabbit, Rat, Yeast |
Key Properties
−| Host | Rabbit |
|---|---|
| Clonality | Polyclonal |
| Immunogen | The immunogen is a synthetic peptide directed towards the N terminal region of human TAF15 |
| Target | TAF15 |
| Protein Sequence | Synthetic peptide located within the following region: TDSSYGQNYSGYSSYGQSQSGYSQSYGGYENQKQSSYSQQPYNNQGQQQN |
| Molecular Weight | 61kDa |
| Purification | Affinity Purified |
| Conjugation | Unconjugated |
Storage & Handling
−| Storage | Maintain refrigerated at 2-8°C for up to 2 weeks. For long term storage store at -20°C in small aliquots to prevent freeze-thaw cycles. |
|---|---|
| Buffer/Preservatives | Liquid. Purified antibody supplied in 1x PBS buffer with 0.09% (w/v) sodium azide and 2% sucrose. |
| Concentration | 0.5 mg/ml |
| Expiration Date | 12 months from date of receipt. |
| Disclaimer | For research use only |
Alternative Names
−Similar Products
−TAF12 Rabbit Polyclonal Antibody [orb546371]
IHC, WB
Human, Mouse, Rat
Rabbit
Polyclonal
Unconjugated
100 μgTAF15/RBP56 Rabbit Polyclonal Antibody [orb221821]
IF, IHC-Fr, IHC-P
Bovine, Canine, Equine, Porcine, Rabbit, Sheep
Human, Mouse, Rat
Rabbit
Polyclonal
Unconjugated
50 μl, 100 μl, 200 μlTAF15 Rabbit Polyclonal Antibody [orb577604]
IHC, WB
Bovine, Canine, Equine, Guinea pig, Mouse, Rabbit, Rat
Human
Rabbit
Polyclonal
Unconjugated
100 μlTAF15 Rabbit Polyclonal Antibody [orb631705]
ELISA, IHC, WB
Human
Rabbit
Polyclonal
Unconjugated
50 μg, 100 μgTAF12 Rabbit Polyclonal Antibody [orb631703]
ELISA, IP, WB
Human, Mouse
Rabbit
Polyclonal
Unconjugated
50 μg, 100 μg

Quality Guarantee
Explore bioreagents carefree to elevate your research. All our products are rigorously tested for performance. If a product does not perform as described on its datasheet, our scientific support team will provide expert troubleshooting, a prompt replacement, or a refund. For full details, please see our Terms & Conditions and Buying Guide. Contact us at [email protected].

Sample Tissue: Human 293T, Antibody dilution: 1.0 ug/ml.

Sample Type: Human Daudi, Lane A: Primary Antibody, Lane B: Primary Antibody + Blocking Peptide, Primary Antibody Concentration: 1.0 ug/ml, Peptide Concentration: 2.0 ug/ml, Lysate Quantity: 25 ug/lane.

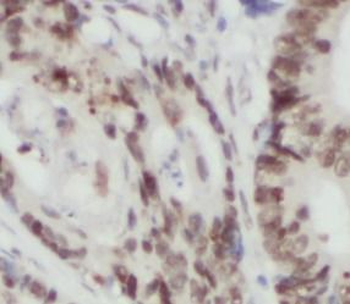
Rabbit Anti-TAF 15 Antibody, Paraffin Embedded Tissue: Human Kidney, Cellular Data: Epithelial cells of collecting tubule, Antibody Concentration: 4.0-8.0 ug/ml, Magnification: 400X.

Rabbit Anti-TAF 15 Antibody, Paraffin Embedded Tissue: Human Skeletal Muscle, Cellular Data: Skeletal muscle cells, Antibody Concentration: 4.0-8.0 ug/ml, Magnification: 400X.

Rabbit Anti-TAF15 Antibody, Paraffin Embedded Tissue: Human cardiac cell, Cellular Data: Epithelial cells of renal tubule, Antibody Concentration: 4.0-8.0 ug/ml, Magnification: 400X.

Rabbit Anti-TAF15 Antibody, Paraffin Embedded Tissue: Human neural cell, Cellular Data: Epithelial cells of renal tubule, Antibody Concentration: 4.0-8.0 ug/ml, Magnification: 400X.

WB Suggested Anti-TAF15 Antibody Titration: 0.2-1 ug/ml, ELISA Titer: 1:312500, Positive Control: Daudi cell lysate, TAF15 is supported by BioGPS gene expression data to be expressed in Daudi.
Documents Download
Request a Document
Protocol Information
TAF15 Rabbit Polyclonal Antibody (orb573583)
Participating in our Biorbyt product reviews program enables you to support fellow scientists by sharing your firsthand experience with our products.
Login to Submit a Review













