You have no items in your shopping cart.
SOX5 Antibody
Description
Research Area
Images & Validation
−| Tested Applications | ELISA, IHC, WB |
|---|---|
| Reactivity | Canine, Human, Rat |
| Application Notes |
Key Properties
−| Antibody Type | Primary Antibody |
|---|---|
| Host | Rabbit |
| Clonality | Polyclonal |
| Immunogen | Antibody produced in rabbits immunized with a synthetic peptide corresponding a region of human SOX5. |
| Target | SOX5 |
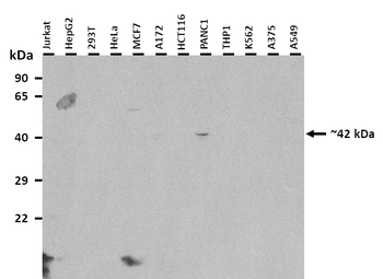
| Molecular Weight | 42 kDa |
| Purification | Antibody is purified by peptide affinity chromatography method. |
| Conjugation | Unconjugated |
Storage & Handling
−| Storage | Maintain refrigerated at 2-8°C for up to 2 weeks. For long term storage store at -20°C in small aliquots to prevent freeze-thaw cycles. |
|---|---|
| Form/Appearance | Liquid |
| Buffer/Preservatives | Purified antibody supplied in 1x PBS buffer with 0.09% (w/v) sodium azide and 2% sucrose. |
| Concentration | batch dependent |
| Expiration Date | 12 months from date of receipt. |
| Disclaimer | For research use only |
Alternative Names
−Similar Products
−SOX5 Rabbit Polyclonal Antibody [orb329718]
WB
Bovine, Canine, Equine, Guinea pig, Rabbit, Rat
Human, Mouse
Rabbit
Polyclonal
Unconjugated
100 μlSOX5 Antibody [orb1536316]
ICC, IF, IHC, IHC-P, WB
Human, Mouse, Rat
Rabbit
Polyclonal
Unconjugated
50 μlSOX5 Rabbit Polyclonal Antibody [orb308802]
WB
Human, Mouse, Porcine, Rat
Rabbit
Polyclonal
Unconjugated
100 μg

Quality Guarantee
Explore bioreagents carefree to elevate your research. All our products are rigorously tested for performance. If a product does not perform as described on its datasheet, our scientific support team will provide expert troubleshooting, a prompt replacement, or a refund. For full details, please see our Terms & Conditions and Buying Guide. Contact us at [email protected].

Antibody used in WB on Human HeLa at 0.2-1 ug/ml.

Antibody used in WB on Human HepG2 at 2.0 ug/ml (Lane A: Primary Antibody and Lane B: Primary Antibody + Blocking Peptide).

Antibody used in WB on HepG2 at 2.0 ug/ml (Lane A: Primary Antibody and Lane B: Primary Antibody + Blocking Peptide).
Documents Download
Request a Document
Protocol Information
SOX5 Antibody (orb1243602)
Participating in our Biorbyt product reviews program enables you to support fellow scientists by sharing your firsthand experience with our products.
Login to Submit a Review


















