You have no items in your shopping cart.
SOCS5 Antibody
Description
Images & Validation
−| Tested Applications | IF, IHC, WB |
|---|---|
| Reactivity | Human, Mouse, Rat |
| Application Notes |
Key Properties
−| Antibody Type | Primary Antibody |
|---|---|
| Host | Rabbit |
| Clonality | Polyclonal |
| Isotype | IgG |
| Immunogen | Recombinant fusion protein containing a sequence corresponding to amino acids 1-140 of human SOCS5 (NP_054730.1). |
| Target | SOCS5 |
| Molecular Weight | Observed: 70kDa |
| Purification | Affinity purification |
| Conjugation | Unconjugated |
Storage & Handling
−| Storage | Maintain refrigerated at 2-8°C for up to 2 weeks. For long term storage store at -20°C in small aliquots to prevent freeze-thaw cycles. |
|---|---|
| Buffer/Preservatives | Liquid |
| Concentration | batch dependent |
| Disclaimer | For research use only |
Alternative Names
−Similar Products
−Dexras1/RASD1 Antibody [orb865561]
ELISA, FC, WB
Human, Mouse, Rat
Rabbit
Polyclonal
Unconjugated
100 μgSOCS5 Antibody [orb18911]
ELISA, WB
Bovine, Mouse, Porcine, Rat
Human
Goat
Polyclonal
Unconjugated
100 μgSOCS5 Antibody [orb668225]
IF, IHC, WB
Human, Mouse
Rabbit
Polyclonal
Unconjugated
200 μl, 100 μl, 50 μl, 30 μl

Quality Guarantee
Explore bioreagents carefree to elevate your research. All our products are rigorously tested for performance. If a product does not perform as described on its datasheet, our scientific support team will provide expert troubleshooting, a prompt replacement, or a refund. For full details, please see our Terms & Conditions and Buying Guide. Contact us at [email protected].

Western blot analysis of extracts of various cell lines, using SOCS5 antibody (orb1256071) at 1:1000 dilution. Secondary antibody: HRP Goat Anti-Rabbit IgG (H+L) at 1:10000 dilution. Lysates/proteins: 25 ug per lane. Blocking buffer: 3% nonfat dry milk in TBST. Detection: ECL Basic Kit. Exposure time: 60s.

Immunohistochemistry of paraffin-embedded human mammary cancer using SOCS5 antibody (orb1256071) at dilution of 1:100 (40x lens).

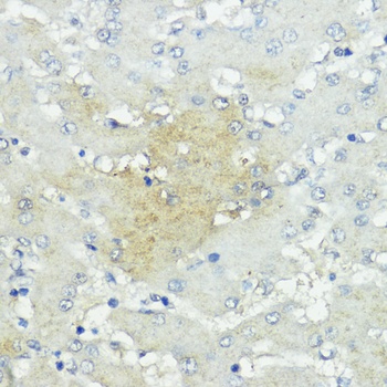
Immunohistochemistry of paraffin-embedded human liver cancer using SOCS5 antibody (orb1256071) at dilution of 1:100 (40x lens).

Immunohistochemistry of paraffin-embedded human lung cancer using SOCS5 antibody (orb1256071) at dilution of 1:100 (40x lens).
Quick Database Links
UniProt Details
−Documents Download
Request a Document
Protocol Information
SOCS5 Antibody (orb1256071)
Participating in our Biorbyt product reviews program enables you to support fellow scientists by sharing your firsthand experience with our products.
Login to Submit a Review







