You have no items in your shopping cart.
SLC34A3 Rabbit Polyclonal Antibody
SKU: orb313095
Description
Research Area
Vitamins and Minerals
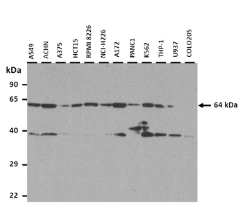
Images & Validation
−
| Tested Applications | ELISA, ICC, IF, IHC-Fr, IHC-P |
|---|---|
| Dilution Range | IHC-P=1:100-500, IHC-F=1:100-500, ICC/IF=1:100-500, IF=1:100-500, ELISA=1:5000-10000 |
| Reactivity | Human |
| Predicted Reactivity | Human |
Related Conjugates & Formulations
−Key Properties
−| Antibody Type | Primary Antibody |
|---|---|
| Host | Rabbit |
| Clonality | Polyclonal |
| Isotype | IgG |
| Immunogen | KLH conjugated synthetic peptide derived from human SLC34A3 (251-350/599aa) |
| Target | SLC34A3 |
| Molecular Weight | 63 kDa |
| Purification | Affinity purified by Protein A |
| Conjugation | Unconjugated |
Storage & Handling
−| Storage | Maintain refrigerated at 2-8°C for up to 2 weeks. For long term storage store at -20°C in small aliquots to prevent freeze-thaw cycles. |
|---|---|
| Form/Appearance | Liquid |
| Buffer/Preservatives | 0.01M TBS (pH7.4) with 1% rAlbumin, 0.02% Proclin300 and 50% Glycerol. |
| Concentration | 1mg/ml |
| Expiration Date | 12 months from date of receipt. |
| Disclaimer | For research use only |
Alternative Names
−HHRH; Na(+) dependent phosphate cotransporter 2C; Na(+) Pi cotransporter 2C; Na(+)-dependent phosphate cotransporter 2C; Na(+)/Pi cotransporter 2C; NaPi 2c; NaPi-2c; NPT2C; NPT2C_HUMAN; NPTIIC; SLC34A3; Sodium dependent phosphate transport protein 2C; Sodium inorganic phosphate cotransporter IIC; Sodium phosphate cotransporter 2C; Sodium phosphate transport protein 2C; Sodium-dependent phosphate transport protein 2C; Sodium-phosphate transport protein 2C; Sodium/inorganic phosphate cotransporter IIC; Sodium/inorganic phosphate cotransporter, type IIC; Sodium/phosphate cotransporter 2C; solute carrier family 34(sodium phosphate) member 3; solute carrier family 34(sodium/phosphate contransporter), member 3; solute carrier family 34(type II sodium/phosphate contransporter), member 3; Solute carrier family 34 member 3; type IIc Na+Pi cotransporter.
Similar Products
−SLC34A3 Rabbit Polyclonal Antibody [orb329648]
WB
Canine, Mouse, Rat
Human
Rabbit
Polyclonal
Unconjugated
100 μlSLC34A3 Rabbit Polyclonal Antibody [orb329612]
WB
Bovine, Canine, Equine, Guinea pig, Mouse, Rat
Human
Rabbit
Polyclonal
Unconjugated
100 μlSLC34A3 Rabbit Polyclonal Antibody [orb313245]
ELISA, ICC, IF, IHC-Fr, IHC-P
Mouse, Rat
Human
Rabbit
Polyclonal
Unconjugated
50 μl, 100 μl, 200 μl

Quality Guarantee
Explore bioreagents carefree to elevate your research. All our products are rigorously tested for performance. If a product does not perform as described on its datasheet, our scientific support team will provide expert troubleshooting, a prompt replacement, or a refund. For full details, please see our Terms & Conditions and Buying Guide. Contact us at [email protected].
Quick Database Links
Gene Symbol
SLC34A3
UniProt
UniProt Details
− No UniProt data available
Documents Download
Datasheet
Product Information
Request a Document
Protocol Information
IHC-P
Immunohistochemistry Paraffin
IHC-Fr
Immunohistochemistry Frozen
IF
Immunofluorescence
ICC
Immunocytochemistry
ELISA
Enzyme-linked Immunosorbent Assay (EIA)
SLC34A3 Rabbit Polyclonal Antibody (orb313095)
Based on 0 reviews
Participating in our Biorbyt product reviews program enables you to support fellow scientists by sharing your firsthand experience with our products.
Login to Submit a Review



