You have no items in your shopping cart.
SIRT2 Antibody
Description
Images & Validation
−| Tested Applications | ELISA, IF, IHC-P, WB |
|---|---|
| Reactivity | Human, Mouse, Rat |
| Predicted Reactivity | Rabbit |
| Application Notes |
Key Properties
−| Antibody Type | Primary Antibody |
|---|---|
| Host | Rabbit |
| Clonality | Polyclonal |
| Isotype | IgG |
| Immunogen | SIRT2 antibody was raised against a 19 amino acid synthetic peptide near the carboxy terminus of the human SIRT2.The immunogen is located within the last 50 amino acids of SIRT2. |
| Target | SIRT2 |
| Molecular Weight | Predicted: 43 kDa Observed: 52 kDa |
| Purification | SIRT2 Antibody is affinity chromatography purified via peptide column. |
| Conjugation | Unconjugated |
Storage & Handling
−| Storage | Maintain refrigerated at 2-8°C for up to 2 weeks. For long term storage store at -20°C in small aliquots to prevent freeze-thaw cycles. |
|---|---|
| Form/Appearance | Liquid |
| Buffer/Preservatives | SIRT2 Antibody is supplied in PBS containing 0.02% sodium azide. |
| Concentration | 1 mg/mL |
| Disclaimer | For research use only |
Alternative Names
−Similar Products
−
Quality Guarantee
Explore bioreagents carefree to elevate your research. All our products are rigorously tested for performance. If a product does not perform as described on its datasheet, our scientific support team will provide expert troubleshooting, a prompt replacement, or a refund. For full details, please see our Terms & Conditions and Buying Guide. Contact us at [email protected].

Western blot analysis of SIRT2 in Mouse brain lysate with SIRT2 antibody at (A) 1 and (B) 2 µg/mL.

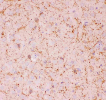
Immunohistochemical staining of Human Brain tissue using SIRT2 antibody at 2.5 µg/mL.

Immunofluorescence of SIRT2 in Human Brain tissue with SIRT2 antibody at 5 µg/mL.
Documents Download
Request a Document
Protocol Information
SIRT2 Antibody (orb1238965)
Participating in our Biorbyt product reviews program enables you to support fellow scientists by sharing your firsthand experience with our products.
Login to Submit a Review









