You have no items in your shopping cart.
SH3RF2 Antibody
Description
Research Area
Images & Validation
−| Tested Applications | ELISA, IF, IHC-P, WB |
|---|---|
| Reactivity | Human, Mouse, Rat |
| Application Notes |
Key Properties
−| Antibody Type | Primary Antibody |
|---|---|
| Host | Rabbit |
| Clonality | Polyclonal |
| Isotype | IgG |
| Immunogen | SH3RF2 antibody was raised against a 17 amino acid synthetic peptide near the carboxy terminus of human SH3RF2.The immunogen is located within the last 50 amino acids of SH3RF2. |
| Target | SH3RF2 |
| Purification | SH3RF2 Antibody is affinity chromatography purified via peptide column. |
| Conjugation | Unconjugated |
Storage & Handling
−| Storage | Maintain refrigerated at 2-8°C for up to 2 weeks. For long term storage store at -20°C in small aliquots to prevent freeze-thaw cycles. |
|---|---|
| Form/Appearance | Liquid |
| Buffer/Preservatives | SH3RF2 Antibody is supplied in PBS containing 0.02% sodium azide. |
| Concentration | 1 mg/mL |
| Expiration Date | 12 months from date of receipt. |
| Disclaimer | For research use only |
Alternative Names
−Similar Products
−RNF158 Rabbit Polyclonal Antibody [orb2720]
IF, IHC-Fr, IHC-P
Bovine, Canine, Equine, Gallus, Human, Mouse, Rabbit, Sheep
Rat
Rabbit
Polyclonal
Unconjugated
50 μl, 100 μl, 200 μlRNF158 Polyclonal Antibody [orb1416449]
ELISA, IF, IHC-Fr, IHC-P
Rat
Rabbit
Polyclonal
Unconjugated
100 μlSH3RF2 Antibody [orb3069673]
WB
Human, Mouse, Rat
Rabbit
Polyclonal
Unconjugated
50 μl, 200 μl, 100 μl, 30 μl

Quality Guarantee
Explore bioreagents carefree to elevate your research. All our products are rigorously tested for performance. If a product does not perform as described on its datasheet, our scientific support team will provide expert troubleshooting, a prompt replacement, or a refund. For full details, please see our Terms & Conditions and Buying Guide. Contact us at [email protected].

Western blot analysis of SH3RF2 in 3T3 cell lysate with SH3RF2 antibody at (A) 1 and (B) 2 µg/mL.

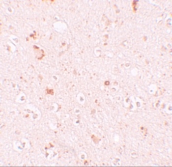
Immunohistochemistry of SH3RF2 in human brain tissue with SH3RF2 antibody at 10 µg/mL.

Immunofluorescence of SH3RF2 in human brain tissue with SH3RF2 antibody at 20 µg/mL.
Documents Download
Request a Document
Protocol Information
SH3RF2 Antibody (orb1238988)
Participating in our Biorbyt product reviews program enables you to support fellow scientists by sharing your firsthand experience with our products.
Login to Submit a Review




