You have no items in your shopping cart.
You have no items in your shopping cart.
| Catalog Number | orb1249242 |
|---|---|
| Category | Antibodies |
| Description | SDF4 Antibody |
| Target | SDF4 |
| Clonality | Polyclonal |
| Conjugation | Unconjugated |
| Reactivity | Human |
| Predicted Reactivity | Bovine, Canine, Mouse, Rat |
| Form/Appearance | Liquid |
| Concentration | 500 ug/mL |
| Buffer/Preservatives | Supplied at 0.5 mg/ml in Tris saline, 0.02% sodium azide, pH 7.3 with 0.5% bovine serum albumin. Aliquot and store at -20°C. Minimize freezing and thawing. |
| Purification | Purified from goat serum by ammonium sulphate precipitation followed by antigen affinity chromatography using the immunizing peptide. |
| Immunogen | The immunogen for this antibody is: C-EYKVKFLASKGHSEK |
| UniProt ID | Q9BRK5 |
| Tested applications | ELISA, IHC, WB |
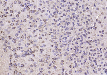
| Application notes | Peptide ELISA: antibody detection limit dilution 1:64000.Western Blot:Approx 45kDa band observed in lysates of cell line Jurkat (calculated MW of 41.8kDa according to NP_057260.2). Recommended concentration: 0.1-0.3ug/ml. Primary incubation was 1 hour. Preliminary testing was unsuccessful on Mouse for this particular batch.Immunohistochemistry:In paraffin embedded Human Kidney shows preferential staining in the brush borders of epithelial cells. Recommended concentration: 5-10ug/ml. |
| Antibody Type | Primary Antibody |
| Storage | Maintain refrigerated at 2-8°C for up to 2 weeks. For long term storage store at -20°C in small aliquots to prevent freeze-thaw cycles. |
| Alternative names | SDF4, stromal cell derived factor 4, Cab45, 45 kDa Read more... |
| Note | For research use only |
| NCBI | NP_057260.2, NP_057631.1 |

orb1249242 (0.1 ug/ml) staining of Jurkat lysate (35 ug protein in RIPA buffer). Detected by chemiluminescence.

orb1249242 (5 ug/ml) staining of paraffin embedded Human Kidney. Steamed antigen retrieval with citrate buffer pH 6, AP-staining.
ELISA, FC, IF, IHC, WB | |
Bovine, Canine, Mouse, Rat | |
Human | |
Goat | |
Polyclonal | |
Unconjugated |
IF, IHC-Fr, IHC-P, WB | |
Equine, Rat | |
Human, Mouse | |
Rabbit | |
Polyclonal | |
Unconjugated |
ELISA, WB | |
Bovine, Canine, Mouse, Rat | |
Human | |
Goat | |
Polyclonal | |
Unconjugated |
Participating in our Biorbyt product reviews program enables you to support fellow scientists by sharing your firsthand experience with our products.
Login to Submit a Review