You have no items in your shopping cart.
You have no items in your shopping cart.
| Catalog Number | orb1421328 |
|---|---|
| Category | Antibodies |
| Description | Rabbit polyclonal antibody to Robo3. |
| Clonality | Polyclonal |
| Species/Host | Rabbit |
| Conjugation | Unconjugated |
| Reactivity | Porcine, Rat |
| UniProt ID | Q96MS0 |
| Tested applications | ELISA, ICC, IF, IHC-Fr, IHC-P, WB |
| Storage | Maintain refrigerated at 2-8°C for up to 2 weeks. For long term storage store at -20°C in small aliquots to prevent freeze-thaw cycles |
| Alternative names | Roundabout homolog 3, Roundabout-like protein 3, R Read more... |
| Research Area | Developmental Biology, Epigenetics |
| Note | For research use only |

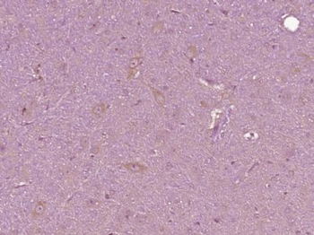
Paraformaldehyde-fixed, paraffin embedded (Rat brain); Antigen retrieval by boiling in sodium citrate buffer (pH6.0) for 15 min; Block endogenous peroxidase by 3% hydrogen peroxide for 20 minutes; Blocking buffer (normal goat serum) at 37°C for 30 min; Antibody incubation with (Robo3) Polyclonal Antibody, Unconjugated at 1:400 overnight at 4°C, followed by operating according to SP Kit (Rabbit) instructions and DAB staining.
ELISA, IHC | |
Bovine, Canine, Mouse, Porcine, Rat | |
Human | |
Goat | |
Polyclonal | |
Unconjugated |
Participating in our Biorbyt product reviews program enables you to support fellow scientists by sharing your firsthand experience with our products.
Login to Submit a Review